Confidental Beverly Hills https://confidentalbeverlyhills.com/ Tue, 27 Jan 2026 09:55:31 +0000 en-US hourly 1 https://wordpress.org/?v=6.9 https://confidentalbeverlyhills.com/wp-content/uploads/2025/06/fav-icon.svg Confidental Beverly Hills https://confidentalbeverlyhills.com/ 32 32 Why Do I Still Have an Abscess After a Root Canal https://confidentalbeverlyhills.com/why-do-i-still-have-an-abscess-after-a-root-canal/ https://confidentalbeverlyhills.com/why-do-i-still-have-an-abscess-after-a-root-canal/#respond Sat, 24 Jan 2026 14:16:20 +0000 https://confidentalbeverlyhills.com/?p=6692 Experiencing a persistent dental abscess after undergoing root canal treatment can be frustrating, painful, and deeply concerning. You’ve invested time, money, and endured discomfort to resolve your dental infection, so discovering that an abscess after root canal remains or has returned naturally raises questions about what went wrong and what happens next. While root canal […]

The post Why Do I Still Have an Abscess After a Root Canal appeared first on Confidental Beverly Hills.

]]>
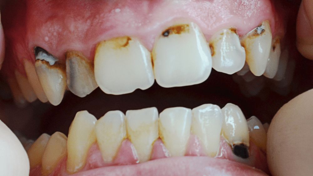
Experiencing a persistent dental abscess after undergoing root canal treatment can be frustrating, painful, and deeply concerning. You’ve invested time, money, and endured discomfort to resolve your dental infection, so discovering that an abscess after root canal remains or has returned naturally raises questions about what went wrong and what happens next. While root canal therapy successfully eliminates infections in over 95% of cases, occasional complications do occur. Understanding why abscesses persist after endodontic treatment, what factors contribute to this situation, and what treatment options remain available helps you navigate this challenging circumstance with informed confidence and realistic expectations about achieving complete healing.

Understanding Why Abscesses Persist After Root Canal Treatment

Root canal procedures are designed to remove infected tissue from inside your tooth, eliminating the bacteria causing your abscess. However, several anatomical, procedural, and biological factors can result in a persistent abscess despite treatment. Understanding these underlying causes helps explain why this complication occurs and guides appropriate next steps.

Complex Root Canal Anatomy

Tooth roots contain incredibly intricate canal systems that can challenge even the most skilled endodontists. Accessory canals tiny branches off the main canal may harbor bacteria that are difficult or impossible to access with standard cleaning instruments. C-shaped canals, common in certain molars, feature irregular cross-sections that resist complete cleaning. Lateral canals branching horizontally from the main canal can remain infected if not identified and treated during the original procedure.

Incomplete Removal of Infected Tissue

If the root canal wasn’t cleaned to the full length of the root, bacteria can survive in the untreated portion and continue causing infection. Similarly, if the canals weren’t adequately disinfected despite proper length achievement, residual bacteria multiply and re-establish infection. Modern rotary instruments and irrigation solutions have improved cleaning effectiveness, but human anatomy sometimes presents challenges that complicate complete bacterial elimination even with excellent technique.

Missed Canals During Treatment

Many teeth, particularly molars, possess more root canals than commonly expected. A second mesiobuccal canal (MB2) in upper molars is present in 60-90% of cases but sometimes goes undetected without dental microscopes or advanced imaging. When a canal remains entirely untreated, it serves as a bacterial reservoir that perpetuates infection regardless of how well other canals were treated.

Root Fractures and Cracks

Vertical root fractures cracks running lengthwise down the root can develop before or after root canal treatment. These fractures create pathways for bacterial invasion that cannot be sealed through conventional endodontic procedures. Teeth become more brittle after losing their internal blood supply during root canal therapy, making them vulnerable to fracturing under normal chewing forces, particularly if not protected with a crown.

Compromised Restoration Sealing

Even a perfectly executed root canal can fail if the tooth’s restoration doesn’t provide an adequate seal. A leaking crown, defective filling, or delayed permanent restoration allows oral bacteria to enter the treated tooth and reinfect the canal system. Saliva contamination introduces new bacteria that colonize the cleaned canals, causing infection to redevelop weeks, months, or even years after successful initial treatment.

Pre-Existing Extensive Bone Loss

When the original infection caused substantial bone destruction around the root tip before treatment, complete bone regeneration takes considerable time, often 6-12 months or longer. During this healing period, residual infected tissue in the bone may form an abscess even though the tooth’s interior has been properly treated. The body gradually resorbs this infected material, but the process isn’t instantaneous.

Common Causes of Abscess After Root Canal

Several specific scenarios frequently result in persistent abscesses following endodontic treatment. Identifying which situation applies to your case helps your dentist develop an appropriate treatment plan and provides realistic expectations about outcomes and timeline.

Inadequate Canal Disinfection

Chemical disinfection of root canals relies on irrigating solutions like sodium hypochlorite (bleach) reaching all areas of the canal system. If irrigation wasn’t performed adequately, insufficient volume, improper technique, or inadequate time bacteria in remote areas survive treatment. These surviving bacteria multiply and eventually cause symptoms to return, manifesting as continued or recurring abscess formation.

Biofilm Persistence in Canal Systems

Bacterial biofilms organized communities of bacteria encased in protective matrices—adhere tenaciously to canal walls and resist both mechanical cleaning and chemical disinfection. These biofilms are significantly more resistant to treatment than free-floating bacteria. If biofilm remnants persist after treatment, they can slowly regenerate and cause reinfection over time despite initially appearing successful.

Extra radicular Infections

In some cases, infection extends beyond the root canal system into the surrounding periapical tissues—the bone and soft tissue around the root tip. These extra radicular infections exist independently of the canal contents and may persist even after perfect canal treatment. The body’s immune system eventually resolves most extra radicular infections once the canal source is eliminated, but occasionally they persist, requiring surgical intervention.

Procedural Complications

Separated instruments (broken files inside the canal), perforations (accidental holes created in the root or tooth structure), or ledging (creation of artificial obstructions preventing full-length canal cleaning) can compromise treatment outcomes. These complications may prevent complete cleaning and sealing of the canal system, leaving areas where bacteria survive and continue causing infection.

Delayed or Inadequate Restoration

Leaving a tooth with only a temporary filling for extended periods after root canal dramatically increases reinfection risk. Temporary materials break down over weeks to months, allowing bacterial leakage into cleaned canals. Similarly, placing a permanent filling instead of the recommended crown on posterior teeth leaves them vulnerable to fracture and bacterial invasion through structural defects.

Systemic Health Factors

Compromised immune function from conditions like uncontrolled diabetes, HIV/AIDS, chemotherapy, or immunosuppressive medications impairs your body’s ability to resolve infections completely. Even with proper root canal treatment, your immune system must eliminate residual bacteria and heal damaged tissues. When immune function is compromised, this process proceeds more slowly and less completely, potentially allowing abscess persistence.

Signs and Symptoms of Persistent Dental Abscess

Recognizing that your abscess hasn’t resolved after root canal treatment requires attention to both obvious symptoms and subtle changes. Some signs are unmistakable, while others develop gradually and might initially seem unrelated to your treated tooth.

Continued or Recurring Pain

Tooth pain that persists beyond the normal 7-10 day healing period or pain that initially resolves but returns weeks later suggests ongoing infection. This pain might be constant or intermittent, dull or sharp, and often worsens with chewing or applying pressure to the tooth. Throbbing pain that follows your heartbeat typically indicates active abscess formation with pus accumulation.

Persistent or New Swelling

Gum swelling around the treated tooth that doesn’t diminish within two weeks, or new swelling that develops after an initial period of improvement, indicates unresolved infection. The swelling might appear as a firm bump on the gum, generalized puffiness around the tooth, or even facial swelling extending to your cheek or jaw if the infection is severe.

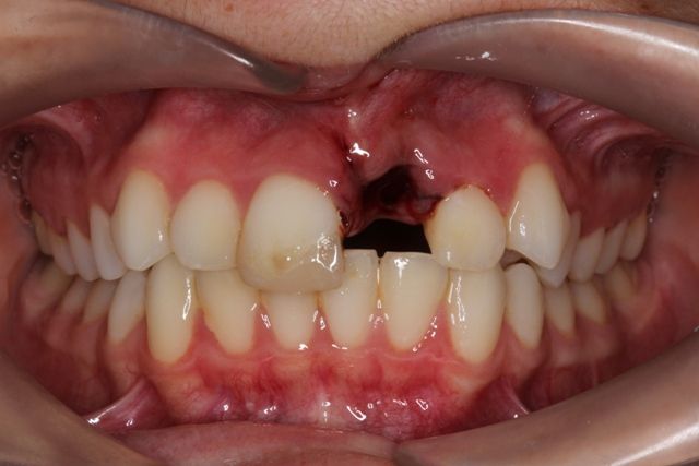
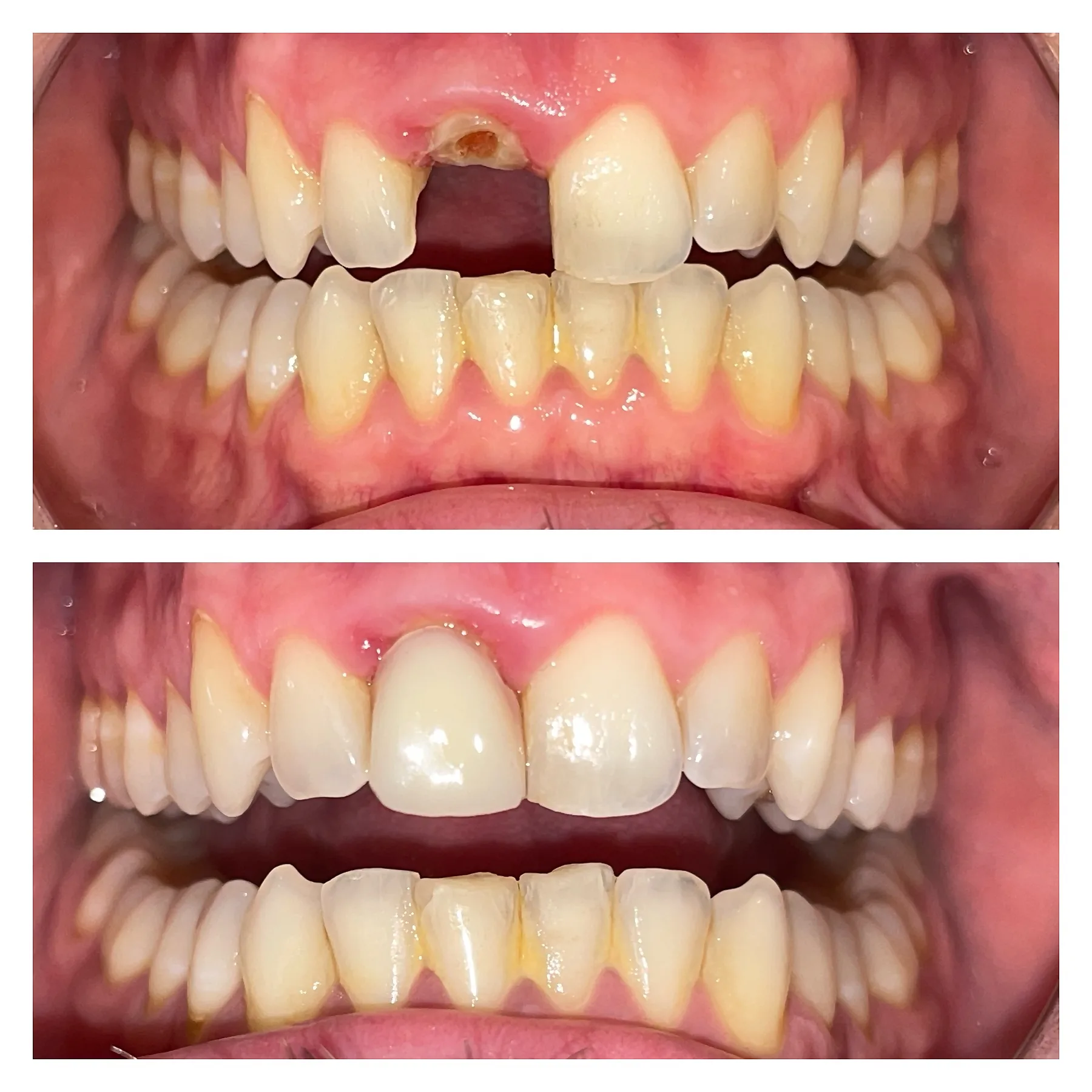
Drainage Through a Fistula

A fistula a tunnel-like tract connecting the infected area to your gum surface—appears as a pimple-like bump that may drain pus intermittently. If you had a fistula before root canal treatment that hasn’t closed within several weeks after treatment, or if a new fistula develops, this indicates persistent infection requiring additional intervention. Fistulas sometimes drain spontaneously, temporarily relieving pressure and pain, but their presence always signifies ongoing infection.

Bad Taste and Odor

Persistent bad taste or foul odor specifically from the area of the treated tooth suggests pus drainage into your mouth from an unresolved abscess. This symptom often accompanies fistula drainage but can occur even without visible drainage if pus seeps from the gum margin around the tooth. Regular brushing and mouthwash don’t eliminate this taste and odor because their source is internal.

Tooth Discoloration Changes

Progressive darkening of the treated tooth beyond the mild discoloration that commonly occurs after root canal treatment might indicate internal problems. Significant color changes developing weeks or months after treatment can suggest necrotic tissue remaining in untreated canal spaces, bleeding within the tooth structure, or crown leakage allowing staining material to penetrate.

Radiographic Evidence on X-rays

Dental x-rays provide definitive evidence of persistent periapical pathology—the technical term for infection around the root tip. Dark areas on x-rays representing bone loss should gradually decrease in size and density over 6-12 months as healing progresses. If these areas remain unchanged, increase in size, or show other concerning features, this indicates the infection hasn’t resolved despite root canal treatment.

Diagnostic Methods for Persistent Abscesses

When abscess symptoms persist or recur after root canal treatment, your dentist employs multiple diagnostic approaches to identify the specific cause and determine the most appropriate treatment. Accurate diagnosis is essential because different underlying problems require different solutions.

Clinical Examination Techniques

Your dentist performs a thorough oral examination, palpating (gently pressing) the tissues around the treated tooth to identify tender areas, swelling, or fistulas. Percussion testing tapping the tooth with an instrument helps assess sensitivity and identify inflammation in the supporting structures. Periodontal probing measures gum pocket depths around the tooth, as unusually deep pockets might indicate vertical root fractures or other structural problems.

Periapical and Bitewing X-rays

Standard dental x-rays remain the primary diagnostic tool for evaluating persistent abscesses. Periapical radiographs show the entire tooth and surrounding bone, revealing bone loss patterns, adequacy of canal filling, missed canals, or root anatomy complications. Bitewing x-rays help assess the integrity of the tooth’s crown and can identify decay developing at crown margins that might allow bacterial reinfection.

Cone Beam CT Scanning

3D imaging through CBCT scans provides extraordinarily detailed views of tooth anatomy, root canal system complexity, and surrounding bone structures. This advanced imaging reveals accessory canals, C-shaped configurations, vertical root fractures, extent of bone destruction, and relationship to adjacent anatomical structures like sinuses or nerve canals. CBCT is particularly valuable when planning retreatment or deciding between retreatment and extraction.

Endodontic Microscopy Assessment

Dental operating microscopes with high magnification and illumination allow endodontists to examine the tooth’s interior in detail. The microscope reveals tiny canal orifices missed during initial treatment, cracks in tooth structure, perforations, or inadequate seal quality. This enhanced visualization often identifies specific problems that explain why the abscess persists and how to address them.

Transillumination for Crack Detection

Fiber-optic transillumination involves shining intense light through the tooth to identify cracks and fractures not visible on x-rays. Light transmission interrupts at crack lines, revealing their presence and sometimes their extent. This technique is particularly useful for detecting vertical root fractures that might otherwise go undiagnosed until extraction when the tooth can be examined directly.

Response to Diagnostic Treatment

Sometimes definitive diagnosis requires observing your response to specific interventions. If symptoms dramatically improve with antibiotics but promptly return after completing the medication course, this confirms active bacterial infection requiring definitive treatment rather than just prolonged antibiotic therapy. Similarly, if surgical drainage provides only temporary relief, this indicates the infection source within the tooth remains and needs addressing.

Treatment Options for Persistent Abscess After Root Canal

When a dental abscess persists after root canal treatment, several therapeutic options exist depending on the specific cause identified, the tooth’s structural integrity, and your overall health status and treatment goals. Your endodontist or dentist will recommend the approach most likely to succeed in your particular situation.

Nonsurgical Root Canal Retreatment

Root canal retreatment involves reopening the tooth, removing the previous filling material from the canals, thoroughly cleaning and disinfecting the canal system again using advanced techniques, addressing any issues identified during the original treatment, and resealing the canals with improved materials or methods. Retreatment success rates range from 70-85%, making this often the first-line approach for persistent infections when the tooth structure is adequate and no fractures exist.

Endodontic Microsurgery (Apicoectomy)

An apicoectomy or root-end resection surgically removes the infected root tip along with surrounding diseased tissue through a small incision in the gum. The root tip is cut away, the canal end is cleaned, and a retrofill (filling placed from the bottom of the root) seals the canal. This surgical approach is considered when retreatment isn’t feasible, has already been attempted unsuccessfully, or when specific conditions make surgery more predictable than nonsurgical retreatment.

Antibiotic Therapy with Definitive Treatment

Antibiotics help control infection and reduce symptoms but cannot cure an infected tooth by themselves; the bacteria within the sealed root canal system exist in an environment antibiotics cannot adequately penetrate. Antibiotics are prescribed alongside definitive treatment (retreatment or surgery) to manage acute symptoms, reduce bacterial loads before procedures, or control spreading infections. Common antibiotics include amoxicillin, penicillin, clindamycin, or metronidazole combinations.

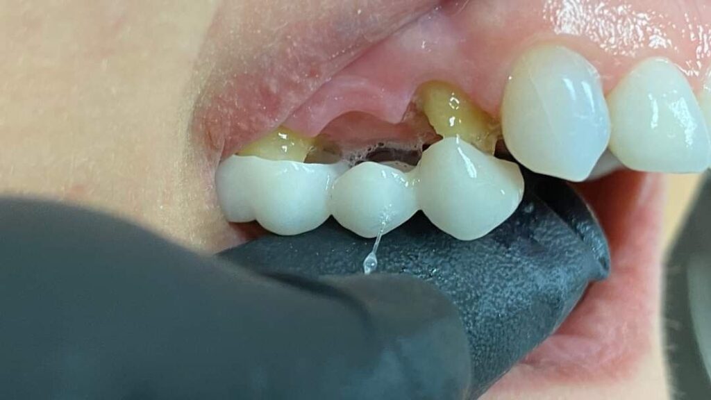
Incision and Drainage Procedures

When a fluctuant abscess a swollen area containing liquid pus—develops, incision and drainage provides immediate relief by releasing accumulated pus and reducing pressure. Your dentist makes a small incision in the swollen tissue, allows pus to drain, and may place a drain to keep the area open temporarily. This procedure addresses acute symptoms but doesn’t resolve the underlying cause, so definitive treatment like retreatment or apicoectomy must follow.

Crown Replacement or Repair

If your persistent abscess results from a leaking crown or defective restoration allowing bacterial contamination, crown replacement after addressing the internal infection is essential. The new restoration must provide an optimal seal to prevent reinfection. Even perfect endodontic retreatment fails if the tooth isn’t properly sealed coronally (from the top), making restoration quality as critical as canal treatment quality.

Tooth Extraction When Conservative Treatment Fails

When a tooth cannot be saved typically due to severe vertical root fractures, extensive root resorption, catastrophic bone loss, or poor structural integrity extraction becomes the appropriate treatment. While dentists always prefer preserving natural teeth, removing a tooth that cannot be successfully treated prevents ongoing infection, pain, and potential complications. Tooth replacement options including dental implants, bridges, or removable partial dentures restore function after extraction.

Prevention Strategies to Avoid Future Abscess Formation

While not all dental abscesses are preventable, implementing proper care strategies significantly reduces your risk of developing infections in treated teeth or requiring retreatment. These preventive measures protect your investment in endodontic therapy and support long-term oral health.

Prompt Permanent Restoration Placement

Get your permanent crown or restoration placed within 2-4 weeks after root canal completion. Don’t delay this critical step even if the tooth feels fine temporary fillings aren’t designed for long-term use and will eventually fail, allowing bacterial contamination. Prompt permanent restoration seals the tooth properly and protects the brittle structure from fracture, significantly improving long-term success rates.

Choosing Appropriate Restoration Type

Follow your dentist’s recommendations regarding restoration type for your specific tooth. Posterior teeth (molars and premolars) that have undergone root canal treatment should receive full-coverage crowns providing 360-degree protection against fracture. Anterior teeth (front teeth) may be adequately restored with composite fillings if sufficient tooth structure remains, but crowns offer superior long-term protection when recommended.

Maintaining Excellent Daily Oral Hygiene

Brush twice daily with fluoride toothpaste and floss once daily to remove bacterial plaque that could compromise your restoration margins. Pay particular attention to the gum line around crowned teeth, where decay often begins. Consider using an electric toothbrush, water flosser, or interdental brushes for more thorough cleaning, especially if you have dexterity challenges with traditional floss.

Regular Professional Dental Care

Attend routine dental examinations every six months for professional evaluation of your root canal tooth and all restorations. Dental cleanings remove calculus buildup home care misses and allow thorough inspection for early problem signs. Periodic x-rays typically every 1-2 years for treated teeth monitor bone healing and detect problems before they cause symptoms.

Protecting Teeth from Trauma

Avoid chewing ice, hard candy, popcorn kernels, or other extremely hard objects that can crack teeth or damage restorations. If you grind your teeth during sleep (bruxism), wear a custom nightguard to protect your teeth from excessive forces. Address habits like nail-biting, pen-chewing, or using teeth as tools to open packages all increase fracture risk, particularly for root canal-treated teeth which are more brittle.

Addressing Dental Problems Promptly

Contact your dentist immediately if you experience pain, sensitivity, swelling, loose crown, or notice anything unusual about your root canal tooth. Early intervention addresses minor issues before they escalate into major problems. Many complications are easier and less expensive to treat when caught early, potentially preventing the need for retreatment, surgery, or extraction.

Conclusion

Discovering you still have a dental abscess after undergoing root canal treatment is undoubtedly concerning and frustrating. However, understanding that this complication occurs in a small percentage of cases and that effective treatment options exist helps you approach the situation with appropriate perspective. Modern endodontic techniques including retreatment and surgical procedures successfully resolve most persistent infections, allowing you to keep your natural tooth and achieve complete healing.

If you’re experiencing persistent pain, swelling, or other symptoms suggesting abscess formation after your root canal, don’t delay seeking professional evaluation. Your trusted dentist in Beverly Hills, CA, our skilled team provides comprehensive endodontic care including diagnosis and treatment of post-root canal complications. We utilize advanced imaging technology, dental microscopes, and proven treatment techniques to identify the specific cause of persistent infections and provide effective solutions tailored to your situation.

Frequently Asked Questions

Why is my tooth abscess not going away after root canal?

Your tooth abscess may persist after root canal due to missed canals not treated during the original procedure, incomplete cleaning leaving residual bacteria, vertical root fractures allowing bacterial entry, leaking crown or restoration permitting reinfection, complex anatomy preventing complete disinfection, or extra radicular infection in surrounding bone requiring more time to heal.

How to treat a tooth abscess while pregnant?

Tooth abscesses during pregnancy require prompt treatment to prevent harm to mother and baby. Dentists perform necessary procedures including root canals and extractions safely during pregnancy, preferably in the second trimester. Pregnancy-safe antibiotics like amoxicillin control infection. Local anesthesia (lidocaine) is safe. Untreated infections pose greater risks than treatment.

What are the signs of a failed root canal?

Failed root canal signs include persistent or returning pain, swelling around the treated tooth, pimple-like bump (fistula) on gums draining pus, bad taste or odor, sensitivity to biting pressure, tooth discoloration, and x-rays showing continued or increasing bone loss around root tips. Symptoms may develop immediately or months/years after treatment.

How does a root canal get rid of an abscess?

Root canal treatment eliminates abscesses by removing infected pulp tissue containing bacteria, thoroughly cleaning and disinfecting the canal system with instruments and irrigating solutions, removing the infection source, and sealing canals to prevent reinfection. With the bacterial source removed, your immune system resolves the abscess and surrounding bone gradually heals over 6-12 months.

Do endodontists drain an abscess?

Yes, endodontists drain abscesses when a fluctuant (fluid-filled) swelling is present. They make a small incision allowing pus to drain, providing immediate pressure relief and pain reduction. However, drainage alone doesn’t cure the infection definitive treatment through root canal, retreatment, or surgery must follow to address the infection source within the tooth.

Can you get a second root canal on the same tooth with a crown?

Yes, you can get a second root canal (retreatment) on a tooth that already has a crown. The endodontist accesses the canals through the crown’s chewing surface, removes old filling material, recleans the canals, and reseals them. The access opening is then filled. Sometimes the crown needs replacement if compromised, but often existing crowns remain functional after retreatment.

How many times can a root canal be retreated?

A root canal can typically be retreated once or twice if the tooth structure remains adequate and no untreatable complications exist. Each retreatment has lower success rates than the previous procedure. First retreatment succeeds 70-85%, second retreatment 60-70%. After multiple failures, apicoectomy (surgical approach) or extraction become more appropriate options depending on specific circumstances.

The post Why Do I Still Have an Abscess After a Root Canal appeared first on Confidental Beverly Hills.

]]>
https://confidentalbeverlyhills.com/why-do-i-still-have-an-abscess-after-a-root-canal/feed/ 0
How Long Do Dental Implants Take to Heal https://confidentalbeverlyhills.com/how-long-do-dental-implants-take-to-heal/ https://confidentalbeverlyhills.com/how-long-do-dental-implants-take-to-heal/#respond Wed, 21 Jan 2026 15:27:20 +0000 https://confidentalbeverlyhills.com/?p=6213 When considering dental implants as a solution for missing teeth, one of the most important questions patients ask is about the healing time required before they can enjoy their new smile fully. Understanding the dental implant healing process helps you plan your treatment timeline, make informed decisions about your oral health, and set realistic expectations […]

The post How Long Do Dental Implants Take to Heal appeared first on Confidental Beverly Hills.

]]>
When considering dental implants as a solution for missing teeth, one of the most important questions patients ask is about the healing time required before they can enjoy their new smile fully. Understanding the dental implant healing process helps you plan your treatment timeline, make informed decisions about your oral health, and set realistic expectations for recovery. Unlike some dental procedures that offer immediate results, implant placement requires patience as your body goes through biological processes that create a permanent, stable foundation for your replacement teeth. The healing timeline varies depending on multiple factors including implant location, bone quality, overall health, and whether additional procedures like bone grafting are necessary. This comprehensive guide walks you through every stage of dental implant healing, from the initial surgery through final restoration, helping you understand what to expect at each phase of your journey to a restored smile.

The Complete Dental Implant Timeline

The dental implant process unfolds over several months, with distinct healing phases that cannot be rushed without risking implant failure, making patience essential for long-term success.

Initial Healing After Implant Surgery

The first phase of healing after dental implant surgery begins immediately after the titanium post is placed into your jawbone and typically lasts 7-14 days. During this initial period, your body responds to the surgical trauma with inflammation, a natural healing response. Swelling peaks around day 2-3 post-surgery before gradually subsiding over the following week. Post-operative pain is usually manageable with prescribed or over-the-counter pain medications and shouldn’t worsen after the third day. The surgical site develops a blood clot that protects the implant and begins the healing cascade. Soft tissue starts closing over the implant site, forming a protective barrier against bacteria. During this phase, you’ll need to follow dietary restrictions, avoid the implant area when brushing, and possibly rinse with antimicrobial mouthwash to prevent infection. Most patients return to work within 1-3 days, though some swelling and tenderness persist for up to two weeks.

Osseointegration: The Critical Healing Phase

Osseointegration represents the most crucial healing stage, during which the titanium implant post fuses with your jawbone at a cellular level. This biological process typically requires 3-6 months and cannot be accelerated without risking implant failure. During osseointegration, specialized bone cells called osteoblasts grow onto the implant surface, gradually forming new bone tissue that locks the implant in place. The implant integration progresses from the surface inward, creating an incredibly strong bond that mimics natural tooth root attachment. Upper jaw implants often require the longer end of this timeline (5-6 months) due to lower bone density, while lower jaw implants may integrate in 3-4 months thanks to denser bone structure. You won’t feel this process occurring silently beneath your gums. During this waiting period, you’ll typically wear a temporary restoration that allows function and aesthetics without placing stress on the healing implant. Successful osseointegration is verified before proceeding to final restoration placement.

Soft Tissue Healing and Maturation

While bone integration occurs below the gum line, the soft tissue surrounding your dental implant also undergoes important healing and remodeling. The gums need to adapt to the presence of the implant and develop a healthy seal around the abutment (connector piece) that emerges through the tissue. This gum healing process begins immediately after surgery but continues refining for several months. About 2-4 weeks after initial implant placement, the gums have healed enough that you can resume normal brushing in the area, though gentle technique remains important. The gum tissue gradually matures, developing the pink, firm texture characteristic of healthy gums around natural teeth. Some practices perform a minor second surgery to expose the implant after osseointegration, placing a healing cap that shapes the gums appropriately for the final crown. This healing cap remains in place for 1-2 weeks while gums conform to the proper contours.

Abutment Placement and Additional Healing

Once osseointegration is confirmed through clinical examination and sometimes x-rays, the abutment of a connector piece between the implant and crown—is attached to the implant post. For implants placed with a two-stage surgical approach, this requires a minor procedure to expose the implant, place the abutment, and allow gums to heal around it. Single-stage implants have the abutment placed during initial surgery. After abutment placement, an additional 1-2 weeks of healing time allows the gums to adapt to the abutment shape and form a proper seal. During this period, impressions or digital scans are taken to create your custom crown. Some swelling and tenderness occur after abutment placement but resolve quickly. This healing phase is much less intensive than initial implant placement since no bone trauma occurs only soft tissue is involved.

Final Restoration and Adjustment Period

The final crown placement marks the completion of your implant treatment, but a brief adjustment period follows as you adapt to your new tooth. The crown is attached to the abutment through cement or a screw, restoring both function and appearance. Initial bite adjustments ensure the crown contacts opposing teeth correctly without creating excessive force. For the first few days after crown placement, your mouth adjusts to the new tooth’s presence, with your tongue and cheeks learning its contours. Chewing may feel slightly different initially, but this quickly normalizes. Some patients experience minor sensitivity or awareness of the implant for 1-2 weeks as surrounding tissues fully adapt. After this adjustment period usually 2-4 weeks—the implant should feel completely natural, functioning indistinguishably from your other teeth. Total treatment timeline from initial implant surgery to final crown placement typically spans 3-7 months depending on various factors.

Factors Affecting Dental Implant Healing Time

Implant healing duration varies significantly among patients due to individual biological factors and treatment circumstances that either accelerate or delay the osseointegration process.

Bone Quality and Density

Your jawbone quality directly impacts how quickly implants integrate and become stable enough for final restoration. Dense, healthy bone provides an ideal environment for rapid osseointegration, potentially shortening healing time to the lower end of the typical range. The lower jaw (mandible) generally has denser bone than the upper jaw (maxilla), allowing faster healing—often 3-4 months versus 5-6 months. Patients with thin or porous bone may require extended healing periods to ensure adequate integration. Bone density decreases with age and after long-term tooth loss, as bone resorbs when not stimulated by tooth roots. Your dentist evaluates bone quality using CT scans during treatment planning, predicting healing timelines based on your specific anatomy. Poor bone quality may necessitate bone grafting procedures that add several months to the overall treatment timeline.

Need for Bone Grafting Procedures

When insufficient bone exists at the implant site, bone grafting becomes necessary to build adequate foundation for implant placement. This additional procedure significantly extends total healing time. The bone graft itself requires 3-6 months of healing before implants can be placed, as the grafted material must integrate with existing bone and form new bone tissue. Only after this graft healing is complete can implants be placed, followed by another 3-6 months of osseointegration. Sinus lift procedures (a type of bone graft in the upper back jaw) also add 4-6 months before implant placement. Some cases allow simultaneous bone grafting and implant placement, reducing total treatment time, but this approach is only possible with specific graft types and adequate remaining bone. Ridge augmentation procedures to widen narrow bone similarly extend timelines. While grafting substantially lengthens treatment, it ensures long-term implant success by creating proper bone support.

Implant Location in the Mouth

The tooth location being replaced affects healing duration due to differences in bone density and blood supply throughout the jaw. Front teeth (incisors and canines) typically heal faster than back teeth (premolars and molars) because anterior bone is often denser with better blood flow. Upper jaw implants consistently require longer healing than lower jaw implants—5-6 months versus 3-4 months—due to the upper jaw’s naturally more porous bone structure. Implants near the sinuses face additional complexity since the thin bone in this area may need augmentation. Multiple implants placed simultaneously generally heal on the same timeline as single implants, though the healing process may be slightly more involved. Immediate load implants (where temporary teeth attach the same day as surgery) are usually limited to front teeth or cases with excellent bone density, as these locations support the early functional demands better.

Overall Health and Medical Conditions

Your general health status profoundly influences how efficiently your body heals dental implants and achieves successful osseointegration. Well-controlled diabetes adds minimal healing time, but uncontrolled diabetes can double healing duration or prevent proper integration altogether. Blood sugar management is critical. Autoimmune conditions and medications suppressing immune function slow healing responses. Osteoporosis affects bone density and remodeling, potentially extending integration timelines, though bisphosphonate medications for osteoporosis require special consideration and timing relative to implant surgery. Cardiovascular disease, cancer treatments, and other serious conditions may impact healing. Nutritional deficiencies particularly protein, vitamin D, and calcium compromise bone formation and integration. Your dentist reviews your complete medical history during planning to anticipate how your health conditions might affect healing and adjust expectations accordingly.

Lifestyle Factors and Habits

Certain lifestyle choices dramatically impact dental implant healing, with some habits accelerating the process while others seriously jeopardize success. Smoking is the most detrimental habit, reducing blood flow to healing tissues and potentially doubling healing time or causing outright implant failure success rates drop 10-20% in smokers. Quitting smoking at least two weeks before surgery and throughout healing significantly improves outcomes. Excessive alcohol consumption interferes with healing and bone metabolism. Poor oral hygiene increases infection risk that can prevent proper integration. Teeth grinding places excessive force on healing implants, potentially disrupting osseointegration. Inadequate nutrition, insufficient protein, calories, or key nutrients slows tissue repair. Conversely, maintaining excellent oral hygiene, eating nutritious foods, staying well-hydrated, getting adequate sleep, and managing stress all support optimal healing and may shorten recovery time.

The Healing Process for Different Implant Procedures

Various dental implant procedures have distinct healing timelines based on complexity, with straightforward single implants healing faster than extensive full-arch reconstructions.

Single Tooth Implant Recovery

Single dental implant placement represents the most straightforward procedure with the shortest recovery period. The surgery typically takes 60-90 minutes, involving placement of one titanium post into your jawbone. Immediate post-operative healing follows the standard 7-14 day soft tissue healing period, with discomfort manageable through over-the-counter pain medications for most patients. Swelling is usually minimal and localized to the surgical area. You can typically return to work the next day, though some patients prefer taking 2-3 days off. The osseointegration phase lasts 3-6 months depending on location and bone quality. A temporary crown or flipper tooth maintains aesthetics during healing if the implant replaces a visible front tooth. Once integration is confirmed, the final crown is placed. Total treatment time from initial surgery to final restoration typically ranges from 3-7 months. Single implant procedures have high success rates exceeding 95% when proper protocol is followed.

Multiple Implants Healing Timeline

Replacing several teeth with multiple dental implants doesn’t significantly extend healing time compared to single implants, though the surgical procedure itself takes longer. Several implants can be placed during one surgical session, all healing simultaneously rather than sequentially. Post-operative recovery may involve slightly more swelling and discomfort compared to single implant surgery, simply due to greater surgical extent. However, the bone integration timeline remains 3-6 months regardless of implant number, as this biological process occurs at a set pace. Temporary teeth maintain function and appearance during healing. Some patients find multiple implant surgery mentally and physically taxing compared to single implant procedures, though medication management keeps discomfort tolerable. The convenience of addressing multiple missing teeth simultaneously often outweighs the marginally increased recovery intensity. Final restorations individual crowns or bridges supported by the implants—are placed once all implants have successfully integrated.

All-on-4 and Full Arch Implant Recovery

All-on-4 dental implants and similar full-arch reconstruction procedures involve placing 4-6 implants to support a complete arch of replacement teeth. These procedures are more extensive, typically requiring 2-3 hours of surgery time. A unique advantage is that temporary teeth are often attached the same day as implant placement, allowing you to leave with a functional smile rather than waiting months for teeth. This immediate loading is possible because the implants are placed at angles that maximize initial stability in available bone. The immediate temporary teeth allow eating (soft diet) and normal appearance throughout healing. Full arch implant healing follows the same 3-6 month osseointegration timeline, during which the temporary prosthesis remains in place. Once integration is confirmed, the temporary teeth are replaced with the final, permanent prosthesis. Total healing before final restoration typically requires 4-6 months. While surgery is more involved, having functional teeth throughout the process makes this approach appealing for many patients.

Immediate Load Implants Special Considerations

Immediate load dental implants (also called same-day implants or teeth in a day) involve attaching temporary teeth to implants immediately after surgical placement rather than waiting for osseointegration. This approach requires excellent bone density and primary stability (the implant’s mechanical stability immediately after placement) to succeed. Immediate loading is most successful for full-arch cases like All-on-4 where multiple implants support each other, providing collective stability. Single immediate load implants work best for front teeth with dense surrounding bone. The advantage is functional teeth from day one, but the tradeoff is stricter dietary restrictions during healing. You must eat only soft foods and chew carefully to avoid disturbing the implants. The osseointegration timeline remains the same 3-6 months, during which the temporary restoration gradually bears increasing load as integration progresses. Not all patients are candidates for immediate loading; your dentist evaluates whether your bone quality and implant stability support this approach.

Implants with Simultaneous Bone Grafting

When bone grafting and implant placement occur during the same surgery, healing becomes more complex as both the graft and implant must integrate with existing bone. This combined approach is only possible when sufficient bone remains to stabilize the implant despite the deficiency requiring grafting. Healing time for simultaneous procedures typically extends to 4-6 months or longer, as both the bone graft and implant integration must complete before final restoration. The bone graft needs time to consolidate and form new bone tissue while the implant osseointegrates into this developing bone. Post-operative recovery is more involved than implant-only surgery, with greater swelling, discomfort, and potential for complications. However, combining procedures saves 3-6 months compared to staged surgery where grafting heals first, then implants are placed in a second surgery months later. Your oral surgeon or periodontist determines whether your situation allows combined surgery or requires staged procedures based on bone defect size and implant stability potential.

Optimizing Your Dental Implant Healing

Taking proactive steps to support your body’s healing processes can help ensure successful implant integration and potentially optimize recovery time within biological limits.

Following Post-Operative Instructions Carefully

Adhering to your dentist’s post-surgical care instructions is the single most important factor within your control for successful healing. Take all prescribed medications as directed, including antibiotics to prevent infection and pain medications to manage discomfort. Apply ice packs to the surgical area for 15 minutes on, 15 minutes off during the first 24-48 hours to minimize swelling. Rest and avoid strenuous physical activity for at least 3-5 days post-surgery, as elevated heart rate and blood pressure can increase bleeding and swelling. Sleep with your head elevated on extra pillows for the first few nights to reduce swelling. Avoid touching the surgical site with your tongue, fingers, or any objects. Don’t smoke or use tobacco products throughout the healing period. Follow dietary restrictions carefully, eating only soft, cool foods initially and gradually reintroducing normal foods as directed. Deviating from these instructions significantly increases complication risk and can compromise implant success.

Maintaining Excellent Oral Hygiene

Keeping the implant site clean prevents infection while allowing healing to progress optimally. For the first 24 hours, avoid brushing near the surgical site and don’t rinse vigorously, as this can dislodge the protective blood clot. After the first day, gently rinse with warm salt water (half teaspoon salt in 8 ounces warm water) after meals and before bed. Resume gentle brushing of non-surgical areas immediately, using a soft-bristled toothbrush. After about a week, you can begin carefully brushing around the implant site using extra-soft bristles and gentle technique. Your dentist may prescribe antimicrobial mouthwash to reduce bacterial levels. Avoid flossing immediately adjacent to the implant until healing progresses and your dentist approves. Oral hygiene during healing requires balancing cleanliness to prevent infection against gentleness to avoid disturbing healing tissues. As healing progresses, gradually return to normal hygiene practices, eventually treating the implant area like your other teeth.

Eating the Right Foods During Recovery

Your diet during implant healing significantly impacts recovery comfort and success. Immediately after surgery, stick to cool or room-temperature soft foods that require minimal chewing yogurt, smoothies, mashed potatoes, scrambled eggs, oatmeal, soup (not hot), protein shakes, and soft fruits. Avoid anything hot for the first 24-48 hours, as heat increases bleeding and swelling. Stay away from crunchy, hard, sticky, or chewy foods that could disturb the surgical site or dislodge the blood clot. Don’t use straws, as the suction can dislodge blood clots. Avoid alcohol, which interferes with healing and interacts with pain medications. As healing progresses over the first 1-2 weeks, gradually reintroduce more substantial foods, though you’ll continue avoiding very hard foods and chewing on the implant side during osseointegration. Focus on nutrient-rich foods high in protein, vitamins C and D, calcium, and zinc—all essential for bone formation and tissue healing. Adequate nutrition supports optimal healing speed within biological constraints.

Managing Pain and Swelling Effectively

Proper pain management and swelling control improve comfort during recovery and support healing processes. Take pain medications proactively during the first few days rather than waiting for severe pain to develop. Over-the-counter ibuprofen works well for most patients, reducing both pain and inflammation. Follow dosing instructions carefully and take with food to prevent stomach upset. If your dentist prescribed pain medication, use it as directed, especially during the first 2-3 days when discomfort peaks. Ice application during the first 48 hours dramatically reduces swelling and applies ice packs for 15 minutes hourly while awake. After 48 hours, switch to warm compresses if swelling persists. Expect swelling to peak around day 2-3, then gradually improve. Some bruising may develop, particularly with more extensive procedures, but this resolves over 7-10 days. Pain should steadily improve after the third day; if it worsens or becomes severe, contact your dentist immediately as this may indicate infection or other complications.

Attending All Follow-Up Appointments

Regular follow-up visits allow your dentist to monitor healing progress, identify potential problems early, and ensure your implant integrates successfully. Your first follow-up typically occurs 7-10 days post-surgery to check initial healing, remove sutures if non-dissolvable ones were used, and ensure no infection has developed. Additional checkups during the osseointegration phase—usually at 6 weeks, 3 months, and when integration should be complete—verify that healing progresses normally. Your dentist evaluates clinical stability of the implant, may take x-rays to assess bone formation around the implant, and determines when it’s safe to proceed with final restoration. These appointments provide opportunities to address any concerns you have about healing. Never skip follow-up appointments even if everything feels fine, as problems can develop without symptoms. Professional monitoring ensures small issues are caught before they threaten implant success, protecting your investment and health.

Conclusion

Understanding the dental implant healing timeline prepares you for the journey toward your restored smile, with realistic expectations about the patience required. The healing process typically spans 3-7 months from initial implant placement to final crown, with the critical osseointegration phase requiring 3-6 months of biological bone integration that cannot be rushed. Individual factors like bone quality, implant location, overall health, and lifestyle choices influence specific healing duration, with some patients healing at the shorter end of the timeline while others require extended periods. While this timeframe may seem lengthy, it represents the biological process necessary for creating a permanent, stable tooth replacement that can last decades. By following post-operative instructions carefully, maintaining excellent oral hygiene, eating appropriate foods, managing discomfort effectively, and attending all follow-up appointments, you maximize your chances of successful healing and optimal implant outcomes. The wait proves worthwhile when you finally enjoy the function, comfort, and appearance of your new tooth that looks, feels, and functions just like a natural one.

If you’re considering dental implants or want expert guidance through the healing process, consulting with an experienced dentist in Beverly Hills, CA ensures you receive comprehensive care and monitoring throughout your implant journey, supporting successful outcomes and optimal healing.

Frequently Asked Questions

How can I speed up dental implant healing?

You cannot significantly accelerate osseointegration, which follows a biological timeline. However, you can optimize healing by not smoking, maintaining excellent oral hygiene, eating nutrient-rich foods high in protein and vitamins C and D, getting adequate sleep, staying well-hydrated, avoiding strenuous activity initially, and following all post-operative instructions carefully.

How long does it take your mouth to heal from dental implants?

Soft tissue heals within 1-2 weeks, allowing normal brushing and eating soft foods. However, complete healing through osseointegration takes 3-6 months for the implant to fuse with bone. Upper jaw implants typically need 5-6 months while lower jaw implants often heal in 3-4 months due to denser bone.

What is the 3/2 rule for dental implants?

The 3/2 rule refers to spacing requirements: at least 3mm of bone width should surround each implant and at least 2mm should separate adjacent implants or natural teeth. This spacing ensures adequate blood supply to bone and reduces complications. Proper spacing during surgical planning promotes successful long-term healing.

How long does it take for a tooth implant to feel normal?

Most patients report their implant feels completely normal 2-4 weeks after final crown placement, once tissues adapt to the restoration. During the 3-6 month osseointegration phase, you typically won’t feel the implant at all. After crown attachment, a brief adjustment period follows before the implant feels indistinguishable from natural teeth.

What is the most painful part of dental implants?

Most patients find the first 2-3 days after implant surgery most uncomfortable, when swelling and soreness peak. However, pain is typically manageable with over-the-counter or prescribed medications. Many patients report the procedure is less painful than expected. The osseointegration phase is painless, and crown placement causes minimal discomfort.

What does no one tell you about dental implants?

Many don’t realize osseointegration requires months of patience, temporary restorations aren’t as strong as final crowns, strict oral hygiene is essential for success, implants require the same care as natural teeth, smoking dramatically reduces success rates, and the prosthetic crown needs eventual replacement even when the implant remains healthy after 10-15 years.

The post How Long Do Dental Implants Take to Heal appeared first on Confidental Beverly Hills.

]]>
https://confidentalbeverlyhills.com/how-long-do-dental-implants-take-to-heal/feed/ 0
What Is The Average Lifespan Of Denture Implants https://confidentalbeverlyhills.com/what-is-the-average-lifespan-of-denture-implants/ https://confidentalbeverlyhills.com/what-is-the-average-lifespan-of-denture-implants/#respond Wed, 21 Jan 2026 14:29:45 +0000 https://confidentalbeverlyhills.com/?p=6196 When considering implant-supported dentures as a solution for extensive tooth loss, understanding how long these restorations last becomes a crucial factor in your decision-making process. Denture implants combine the stability of dental implants with the comprehensive tooth replacement that dentures provide, offering a transformative solution for people missing most or all of their teeth. Unlike […]

The post What Is The Average Lifespan Of Denture Implants appeared first on Confidental Beverly Hills.

]]>
When considering implant-supported dentures as a solution for extensive tooth loss, understanding how long these restorations last becomes a crucial factor in your decision-making process. Denture implants combine the stability of dental implants with the comprehensive tooth replacement that dentures provide, offering a transformative solution for people missing most or all of their teeth. Unlike traditional removable dentures that rest on your gums, implant-retained dentures attach to titanium posts surgically placed in your jawbone, creating a stable foundation that dramatically improves function and comfort. The longevity of these restorations depends on multiple factors including implant quality, bone health, maintenance practices, and lifestyle choices. This comprehensive guide explores the expected lifespan of denture implants, what influences their durability, and how you can maximize your investment in this life-changing dental treatment.

Expected Lifespan of Implant Components

Denture implants consist of two distinct parts: the titanium posts embedded in your jawbone and the denture prosthesis that attach to them, each with different expected lifespans affecting overall restoration longevity.

Titanium Implant Posts Longevity

The dental implant posts themselves demonstrate exceptional durability, with research showing success rates exceeding 95% at 10 years and 90% at 20 years when properly maintained. These titanium posts integrate with your jawbone through osseointegration, creating a permanent foundation that resists failure once established. Many patients retain their implant posts for 25-30 years or even a lifetime with appropriate care and regular professional monitoring. The biocompatible titanium material doesn’t decay like natural teeth and rarely experiences mechanical failure under normal conditions. Implant longevity depends heavily on bone quality, surgical placement precision, and your body’s healing response during the initial integration period. Once successfully integrated, the implants become remarkably stable structures that typically outlast the denture prosthesis attached to them, requiring replacement of only the visible teeth while the foundation remains intact.

Denture Prosthesis Replacement Timeline

The implant-supported denture attached to your implant posts typically needs replacement or refurbishment every 5-10 years due to normal wear from chewing forces and daily use. The acrylic or composite materials forming the artificial teeth and gum-colored base gradually wear down, stain, or sustain damage over time. Denture teeth experience constant pressure during eating, temperature changes from foods and beverages, and exposure to staining substances that affect appearance. The attachments connecting the denture to implants whether ball attachments, locators, or bar systems may require periodic replacement as they wear. Some patients need denture replacement sooner if they grind teeth, chew very hard foods regularly, or experience changes in jaw structure. Regular dental examinations allow your dentist to monitor wear patterns and recommend replacement timing before complete failure occurs, ensuring you’re never without functioning teeth.

Abutments and Attachment Hardware

The abutment components connecting implant posts to dentures represent the middle layer of your restoration and typically last 10-15 years before requiring replacement. These precision-engineered pieces screw into the implant posts and provide the attachment mechanism for your denture. Locator attachments, ball attachments, or custom bars experience mechanical wear as you insert and remove the denture daily (for removable versions) or from constant chewing forces (for fixed versions). The retention strength of these attachments gradually diminishes over years of use, eventually requiring replacement to maintain proper denture stability. Replacement is straightforward since the implant posts remain in place your dentist simply removes worn attachments and installs new ones during a single appointment. This maintenance preserves optimal denture function without requiring implant surgery.

Comparing Removable Versus Fixed Implant Dentures

Removable implant dentures (overdentures) and fixed implant dentures (hybrid dentures or All-on-4) have slightly different longevity profiles due to their distinct designs and attachment methods. Removable versions snap onto 2-4 implants and can be taken out for cleaning, with the denture prosthesis typically lasting 5-7 years and attachments needing replacement every 1-2 years as they wear. Fixed versions screw permanently onto 4-6 implants and cannot be removed by patients, with the prosthesis usually lasting 10-15 years before requiring replacement. Fixed dentures generally experience less wear on attachment components since they remain stationary, while removable versions undergo stress during daily insertion and removal. Both options provide excellent function and stability compared to traditional dentures, with your choice depending on preference, bone availability, and budget considerations.

Factors That Extend Implant Lifespan

Several controllable factors significantly influence how long your denture implants last, with your daily habits and maintenance practices playing the most critical role. Excellent oral hygiene prevents peri-implantitis (infection around implants), the leading cause of implant failure after the initial healing period. Regular professional cleanings every 3-6 months remove bacterial buildup that home care alone cannot eliminate. Avoiding harmful habits like smoking, which dramatically reduces implant success rates by impairing blood flow and healing. Wearing a nightguard if you grind teeth protects both implants and denture prosthesis from excessive forces. Maintaining overall health, particularly controlling conditions like diabetes that affect healing and bone metabolism. Following dietary recommendations that protect denture teeth from damage. These preventive measures can add years or even decades to your denture implant lifespan.

Factors Affecting Denture Implant Durability

Understanding the variables that influence implant-supported denture longevity empowers you to take actions maximizing the lifespan of your restoration and protecting your investment.

Bone Quality and Density

Your jawbone quality directly impacts how well implants integrate initially and how long they remain stable over time. Dense, healthy bone provides superior support for implant posts, distributing chewing forces effectively and resisting the gradual bone loss that naturally occurs with aging. Patients with thin or porous bone may require bone grafting before implant placement to ensure adequate support. The upper jaw (maxilla) typically has less dense bone than the lower jaw (mandible), sometimes affecting implant success rates. Conditions affecting bone metabolism like osteoporosis or long-term denture wear (which causes significant bone loss) complicate implant treatment. Your dentist evaluates bone quality using CT scans during treatment planning, identifying areas requiring grafting or special implant designs. Strong bone foundation during initial placement sets the stage for decades of successful implant function.

Oral Hygiene and Maintenance Practices

Your daily oral care routine represents the single most important factor within your control affecting how long denture implants last. Cleaning implant-supported dentures requires specific techniques depending on whether your restoration is removable or fixed. For removable versions, take the denture out daily to clean both the prosthesis and the exposed implant abutments using soft brushes and non-abrasive cleansers. Fixed dentures require meticulous cleaning around and underneath the prosthesis using specialized floss threaders, interdental brushes, or water flossers that reach difficult areas. Bacterial accumulation around implant sites causes peri-implantitis, an infection destroying the bone supporting implants and leading to failure. Patients who maintain excellent hygiene dramatically extend implant lifespan compared to those with poor cleaning habits. Your dental hygienist demonstrates proper cleaning techniques during maintenance appointments.

Professional Dental Care Frequency

Regular visits to your dental professional for cleanings and examinations are non-negotiable for maximizing denture implant longevity. Most patients with implant-supported dentures require professional maintenance every 3-4 months rather than the standard six-month interval for natural teeth. These appointments involve specialized cleaning around implants using instruments designed not to scratch titanium surfaces. Your dentist checks implant stability, evaluates bone levels around implants through x-rays, examines denture condition, and adjusts retention components as needed. Preventive dental care catches small problems loose screws, minor infections, denture cracks before they become major failures requiring extensive treatment. Studies consistently show that patients who maintain their recommended professional care schedule retain their implants at significantly higher rates than those who skip appointments or space them too far apart.

Systemic Health Conditions

Your overall health status profoundly affects how well your body maintains dental implants over the years. Uncontrolled diabetes impairs healing and increases infection risk, reducing implant success rates by 10-15% compared to non-diabetic patients. However, well-controlled diabetes poses minimal additional risk. Autoimmune conditions and medications suppressing immune function affect the body’s ability to maintain the bone-implant interface. Osteoporosis medications (bisphosphonates) can complicate dental implant treatment and healing, though they don’t preclude implant placement when managed appropriately. Cardiovascular disease, cancer treatments, and other serious health conditions may impact outcomes. Working with both your dentist and physician to optimize medical condition management dramatically improves implant prognosis. Many health issues, when well-controlled, minimally affect implant success.

Lifestyle Habits and Risk Behaviors

Certain lifestyle choices either support long-term implant success or significantly undermine it. Smoking represents the most detrimental habit, reducing blood flow to tissues around implants and impairing healing—smokers experience implant failure rates 2-3 times higher than non-smokers. Excessive alcohol consumption may interfere with bone metabolism and healing processes. Recreational drug use affects judgment and oral hygiene compliance. Teeth grinding places enormous stress on implants and prosthetics, potentially causing mechanical failures or bone loss; a nightguard provides essential protection. Your dietary choices matter—consistently chewing extremely hard foods can damage denture teeth or stress implants excessively. Regular exercise and stress management support overall health, indirectly benefiting implant longevity. Addressing harmful habits before implant placement and maintaining healthy behaviors afterward substantially improves your chances of decades-long success.

Proper Care for Maximum Implant Lifespan

Implementing comprehensive denture implant maintenance strategies ensures you achieve the maximum possible lifespan from your restoration while avoiding complications and costly repairs.

Daily Cleaning Techniques for Removable Dentures

Removable implant-supported dentures require diligent cleaning of both the prosthesis and the exposed implant components in your mouth. Remove your denture at least once daily—most patients prefer bedtime and clean it thoroughly using a soft denture brush and mild soap or specialized denture cleaner. Scrub all surfaces including the underside that contacts your gums, removing food particles and bacterial biofilm. Rinse the denture under running water to flush away debris. Clean the implant abutments and attachments remaining in your mouth using an extra-soft toothbrush, paying special attention to areas where the abutments emerge from gums. Some patients find interdental brushes helpful for reaching around implant posts. Rinse your mouth thoroughly with water or antimicrobial mouthwash. Avoid using regular toothpaste on implant components as abrasives can scratch surfaces, creating areas where bacteria accumulate.

Caring for Fixed Implant Dentures

Fixed implant dentures that cannot be removed require specialized cleaning techniques reaching underneath and around the prosthesis where food and bacteria accumulate. Use superfloss or floss threaders to clean between the denture and gums, sliding the floss underneath the prosthesis and along each implant post. Interdental brushes in various sizes clean spaces between teeth and around implants effectively. Water flossers provide excellent cleaning for fixed dentures, flushing debris from hard-to-reach areas with pulsating water streams—use medium or low settings to avoid tissue damage. Some patients find proxy brushes helpful for accessing tight spaces. Clean all accessible surfaces at least twice daily, with bedtime cleaning being especially important since bacterial growth accelerates during sleep when saliva flow decreases. Your dental hygienist demonstrates specific techniques for your restoration’s design during maintenance appointments.

Products to Use and Avoid

Choosing appropriate cleaning products protects your denture implants and prosthesis materials while providing effective bacterial control. Use non-abrasive denture cleaners or mild liquid soap for prosthesis cleaning—avoid regular toothpaste which contains abrasives that scratch acrylic and implant surfaces. Antimicrobial mouthwashes without alcohol reduce bacterial levels without drying tissues; chlorhexidine rinses prescribed by your dentist provide powerful antibacterial action when needed. Avoid harsh chemicals like bleach that can damage denture materials or irritate tissues. Don’t use metal instruments or hard-bristled brushes that scratch implant surfaces. Denture soaking solutions help remove stains and bacteria but don’t replace mechanical brushing. Water flossers should never use additives except those specifically approved for dental use. Your dental team recommends specific products appropriate for your implant denture system, as different attachment types may have special requirements.

Dietary Considerations for Denture Protection

While implant-supported dentures provide vastly better chewing function than traditional dentures, certain dietary modifications protect both the prosthetic teeth and implant components from damage. Avoid extremely hard foods like ice, hard candy, unpopped popcorn kernels, or bones that can crack denture teeth or place excessive stress on implants. Be cautious with very sticky foods like caramel or taffy that can dislodge removable dentures or stress attachments. Cut tough meats and hard vegetables into smaller pieces rather than biting through them with front teeth. Distribute chewing forces evenly across both sides of your mouth when possible. While you’ll enjoy far greater dietary freedom than with traditional dentures, using common sense about food hardness prevents unnecessary damage. If you accidentally crack a denture tooth, see your dentist promptly for repair before the damage worsens or affects adjacent teeth.

Recognizing Problems Requiring Attention

Learning to identify early warning signs of implant problems allows prompt intervention that can prevent minor issues from becoming implant-threatening complications. Pain around implants that wasn’t present before suggests possible infection or mechanical problems requiring evaluation. Bleeding or swollen gums around implant sites indicates inflammation needing treatment. Any mobility or looseness in implants themselves—not just attachments—represents a serious problem demanding immediate attention. Changes in how your denture fits or functions may indicate attachment wear, bone loss, or prosthesis damage. Difficulty inserting or removing your denture (for removable types) suggests attachment problems. Clicking sounds or movement while chewing indicates loose components. Bad breath despite good hygiene may signal hidden infection. Never ignore these warning signs—early professional intervention prevents complications that could jeopardize your implants.

Replacement and Refurbishment Options

Understanding your options for denture implant maintenance and eventual replacement helps you plan for the long-term care of your restoration.

When Denture Replacement Becomes Necessary

Your implant denture will eventually require replacement after years of faithful service, even when the implant posts remain perfectly healthy. Typical replacement occurs every 5-10 years for removable versions and 10-15 years for fixed versions, though individual timelines vary. Signs indicating replacement time include excessive wear affecting chewing efficiency, visible cracks compromising structural integrity, staining that professional cleaning cannot remove, or aesthetic concerns from worn appearance. Changes in your gum tissues over time may require new impressions for optimal fit. Technological advances might offer improved materials or designs compared to your original restoration. Your dentist monitors wear during regular checkups, recommending replacement timing proactively before complete failure occurs. Planning replacement as part of long-term maintenance prevents emergency situations where you’re suddenly without functioning dentures.

Refurbishing Versus Complete Replacement

Sometimes your denture prosthesis can be refurbished rather than completely replaced, extending its service life cost-effectively. Denture repairs like replacing individual cracked teeth, relining the tissue-contacting surface for better fit, or replacing worn attachment components may suffice when overall structure remains sound. Your dentist evaluates whether refurbishment is viable or if deterioration warrants complete replacement. Refurbishing costs 30-50% less than new dentures and can be completed faster. However, extensive wear, outdated design, or structural compromise typically necessitate complete replacement. Attempting to repeatedly repair heavily damaged dentures often proves more expensive long-term than timely replacement. Your dental team recommends the most appropriate and cost-effective approach based on your denture’s condition.

The Denture Replacement Process

Replacing implant dentures is considerably simpler than initial treatment since the implant posts remain in place, eliminating surgical procedures. Your dentist takes new impressions or digital scans of your implants and surrounding tissues to capture current mouth anatomy. You’ll discuss any desired changes in tooth appearance, shade, or design for the new prosthesis. A dental laboratory fabricates your new denture over 2-4 weeks while you continue wearing your old one. During the delivery appointment, your dentist removes the old prosthesis, cleans and inspects implant components, and attaches the new denture. Minor adjustments optimize fit and bite. The process typically requires 2-3 appointments over several weeks. Some practices offer accelerated fabrication, reducing treatment time. You’ll receive care instructions specific to your new restoration, which may differ slightly from your previous one.

Cost Considerations for Replacement

Denture replacement costs are substantially lower than initial implant treatment since no surgery is involved and implant posts don’t need replacement. Expect to pay 30-50% of your original treatment cost for prosthesis replacement, though this varies by denture type and complexity. Removable denture replacement typically costs $2,000-$5,000, while fixed denture replacement ranges $5,000-$15,000. Attachment component replacement costs $200-$500 per implant. Insurance may provide partial coverage for prosthesis replacement after a certain service period. Many practices offer payment plans making replacement more manageable financially. While replacement represents an additional expense, the long service life before replacement is needed makes the amortized annual cost quite reasonable. Planning financially for eventual replacement as part of long-term implant maintenance prevents budget stress when the time comes.

Maintaining Implants Between Replacements

Excellent care during the period between denture replacements protects your implant posts and maximizes time before new prostheses are needed. Continue meticulous daily cleaning throughout your denture’s lifespan, not just when it’s new. Attend all recommended maintenance appointments even when everything seems fine. Report minor problems promptly—small repairs prevent accelerated deterioration. Avoid behaviors that accelerate wear like chewing ice or using teeth as tools. Wearing nightguards if prescribed protects against grinding damage. Following these practices often extends denture service life beyond average timelines. Some exceptionally well-maintained dentures last 12-15 years before requiring replacement. Your consistent care directly translates to longer-lasting restorations and better return on your investment.

Age-Related Considerations for Implant Dentures

Dental implants can successfully restore smiles for patients across a wide age range, though some special considerations apply for older adults considering this treatment.

Implants in Older Adults

Age itself doesn’t preclude dental implant success—patients in their 70s, 80s, and even 90s successfully receive implants when overall health is adequate. Research shows similar success rates for older adults compared to younger patients when systemic health is good. The key factors are bone quality, healing capacity, and absence of contraindications rather than chronological age. Many seniors enjoy excellent health that supports successful implant treatment. Implant-supported dentures dramatically improve quality of life for older adults, restoring chewing function that supports proper nutrition and eliminating the embarrassment and discomfort of loose traditional dentures. The psychological benefits—renewed confidence, improved social engagement, better self-esteem—are particularly meaningful for seniors. Dentists evaluate older patients individually, considering overall health, medications, and treatment goals when determining candidacy.

Health Conditions Common in Seniors

Older adults often have systemic health conditions requiring special consideration during implant treatment planning but not necessarily precluding implant placement. Well-controlled diabetes poses minimal additional risk, though uncontrolled diabetes may warrant delaying treatment until blood sugar is managed. Osteoporosis medications require discussion with your physician about timing relative to implant surgery. Heart disease patients may need antibiotic prophylaxis and monitoring during procedures. Blood thinners require coordination with prescribing physicians regarding temporary adjustment around surgery. Many medications commonly prescribed for seniors cause dry mouth, increasing infection risk and requiring special preventive measures. Your dental and medical teams collaborate to optimize conditions for successful treatment. Most health issues can be managed appropriately, allowing safe implant placement.

Simplified Implant Options for Seniors

For older adults concerned about extensive treatment, simplified implant solutions like All-on-4 or overdentures on 2-4 implants offer full-arch restoration with fewer implants and often without bone grafting. These streamlined approaches reduce surgery time, healing periods, and costs while still providing dramatically improved function compared to traditional dentures. Mini dental implants smaller diameter implants can sometimes be placed less invasively and heal faster, though they’re not suitable for all situations. Some practices offer same-day teeth where temporary dentures attach to implants immediately after placement, eliminating the period without teeth. These options make implant dentures accessible for seniors who might not be candidates for conventional full-arch implant treatment requiring 6-8 implants and extensive grafting.

Healing Considerations for Older Patients

While healing capacity generally declines with age, most healthy older adults heal adequately for successful implant integration. The osseointegration process may take slightly longer in older patients 4-6 months rather than 3-4 months but ultimately achieves similar stability. Your dentist monitors healing carefully and doesn’t proceed to final restoration until implants are fully stable. Nutritional support during healing adequate protein, vitamins C and D, calcium optimizes bone integration. Temporary dentures maintain function and appearance during healing. Managing any health conditions optimally during the healing period supports successful outcomes. Following post-surgical care instructions meticulously prevents complications. Most seniors tolerate implant procedures well and experience recovery comparable to younger patients.

Long-Term Outlook and Life Expectancy

Concerns about life expectancy sometimes make older adults question whether implants are worthwhile, but quality of life improvements justify treatment regardless of remaining years. Even if implants last “only” 10-15 years, that represents a decade or more of dramatically improved function, comfort, and confidence. The nutritional benefits of restored chewing ability support overall health and longevity. The psychological boost from renewed smile confidence enhances social engagement and mental wellbeing. Many seniors report that implant dentures are among the best decisions they’ve made for their quality of life. Estate planning doesn’t typically consider dental implants as they become part of your body. From a practical standpoint, the functional and emotional benefits of implant dentures for seniors far outweigh concerns about longevity, making them an excellent investment in remaining years.

Conclusion

The average lifespan of denture implants varies by component, with titanium implant posts potentially lasting 25-30 years or even a lifetime, while the denture prosthesis typically requires replacement every 5-15 years depending on type and maintenance. Understanding this timeline helps you plan for the long-term care and costs associated with implant-supported dentures. The exceptional durability of the implant foundation combined with replaceable prosthetic teeth creates a sustainable long-term solution for extensive tooth loss. Factors within your control oral hygiene, professional maintenance, lifestyle choices, and general health management dramatically influence how long your denture implants last. With proper care and regular dental oversight, implant dentures provide decades of reliable service, making them an outstanding investment in your oral health, function, and quality of life that far exceeds the performance of traditional removable dentures.

If you’re considering implant-supported dentures or need evaluation of existing implant dentures, consulting with an experienced dentist in Beverly Hills, CA ensures you receive expert assessment and comprehensive care. Professional guidance helps you understand your options and develop a treatment plan that meets your unique needs and goals for tooth replacement.

Frequently Asked Questions

How often do denture implants need to be replaced?

The titanium implant posts typically last 20-30 years or longer and may never need replacement. The denture prosthesis attached to implants requires replacement every 5-10 years for removable types and 10-15 years for fixed types due to normal wear, though attachment components may need replacement every 1-2 years.

What is the 3/2 rule for dental implants?

The 3/2 rule suggests maintaining at least 3mm of bone width around an implant and 2mm between adjacent implants or natural teeth. This spacing ensures adequate blood supply to supporting bone and reduces risk of bone loss. Proper spacing during surgical planning promotes long-term implant health and stability.

What does no one tell you about dental implants?

Many don’t realize implants require the same diligent oral hygiene as natural teeth to prevent infection. The prosthetic teeth need eventual replacement even when implants remain healthy. Initial healing involves dietary restrictions and discomfort. Smoking dramatically reduces success rates. Some people experience temporary numbness or sinus issues depending on implant location.

What happens to dental implants when you get old?

Dental implants typically remain stable as you age if properly maintained. Bone naturally thins with aging, but implants actually help preserve bone by providing stimulation. Age-related health conditions may complicate maintenance but don’t typically cause implant failure. Regular professional care becomes increasingly important to monitor implant health as you age.

Should a 70 year old get a dental implant?

Yes, age 70 is not too old for dental implants if you’re in good overall health. Success rates for healthy 70-year-olds are similar to younger patients. The quality of life improvements—better chewing, confidence, nutrition make implants worthwhile regardless of remaining years. Medical conditions matter more than chronological age for candidacy.

What is the most common cause of dental implant failure?

Peri-implantitis bacterial infection around implants causing bone loss is the leading cause of late implant failure after the initial healing period. It results primarily from inadequate oral hygiene allowing bacterial accumulation. Smoking significantly increases failure risk by impairing blood flow and healing. Early failures typically result from poor osseointegration or infection.

The post What Is The Average Lifespan Of Denture Implants appeared first on Confidental Beverly Hills.

]]>
https://confidentalbeverlyhills.com/what-is-the-average-lifespan-of-denture-implants/feed/ 0
How to Maintain Results After Cosmetic Dental Treatment https://confidentalbeverlyhills.com/how-to-maintain-results-after-cosmetic-dental-treatment/ https://confidentalbeverlyhills.com/how-to-maintain-results-after-cosmetic-dental-treatment/#respond Tue, 20 Jan 2026 12:18:34 +0000 https://confidentalbeverlyhills.com/?p=6005 Cosmetic dental treatments can completely transform a smile, boosting confidence, improving appearance, and enhancing overall facial harmony. Procedures such as cosmetic dentistry, teeth whitening, dental veneers, cosmetic crowns, and smile makeovers deliver impressive results, but those results are not permanent without proper care. Maintaining cosmetic dental work requires commitment, daily habits, professional monitoring, and smart […]

The post How to Maintain Results After Cosmetic Dental Treatment appeared first on Confidental Beverly Hills.

]]>
Cosmetic dental treatments can completely transform a smile, boosting confidence, improving appearance, and enhancing overall facial harmony. Procedures such as cosmetic dentistry, teeth whitening, dental veneers, cosmetic crowns, and smile makeovers deliver impressive results, but those results are not permanent without proper care. Maintaining cosmetic dental work requires commitment, daily habits, professional monitoring, and smart lifestyle choices.

This detailed guide explains how to protect your investment after cosmetic dental treatment. It covers daily care, long-term habits, professional maintenance, and preventive strategies to ensure your smile remains healthy, bright, and beautiful for years.

Why Maintenance Is Essential After Cosmetic Dental Treatment

Cosmetic dental procedures improve the appearance of teeth, but they do not make teeth immune to wear, staining, or damage. Without consistent care, even the most advanced cosmetic work can fade, chip, or discolor.

How Cosmetic Results Change Over Time

Natural aging, food habits, oral hygiene routines, and bite forces all affect cosmetic dental work. Teeth whitening may fade, veneers can stain at the margins, and bonding may wear down. Maintenance helps slow these changes and preserves the original results.

Proper aftercare ensures your cosmetic treatment continues to look natural and function properly.

Understanding the Type of Cosmetic Dental Treatment You Received

Every cosmetic procedure has unique maintenance requirements. Understanding what was done helps you care for it correctly.

Why Different Treatments Need Different Care

Teeth whitening, veneers, bonding, crowns, and clear aligners respond differently to daily habits. Whitening requires stain control, veneers need edge protection, and bonding requires gentle cleaning. Tailored care prevents premature damage.

Knowing your treatment type allows you to focus on the right maintenance strategies.

Daily Oral Hygiene After Cosmetic Dental Treatment

Daily oral hygiene is the foundation of maintaining cosmetic dental results. No cosmetic treatment replaces brushing and flossing.

Why Consistent Oral Hygiene Protects Cosmetic Work

Plaque buildup affects both natural teeth and cosmetic restorations. Poor hygiene can lead to staining, gum inflammation, decay around restorations, and shortened lifespan of cosmetic work.

Strong daily hygiene protects the beauty and health of your smile.

Brushing Techniques for Cosmetic Teeth

Brushing twice daily using a soft-bristled toothbrush is essential after cosmetic dental treatment. Aggressive brushing can scratch dental veneers, wear down cosmetic bonding, and irritate gums. Use gentle circular motions and focus on cleaning the gumline where plaque accumulates. Non-abrasive toothpaste is ideal to prevent surface damage while maintaining cleanliness.

Importance of Flossing Around Cosmetic Restorations

Flossing removes plaque between teeth where brushes cannot reach. After cosmetic treatments, flossing helps prevent staining at restoration edges and protects gum health. Use waxed floss or floss picks to gently clean around veneers and crowns without applying excessive force. Daily flossing preserves both aesthetics and oral health.

Choosing the Right Toothpaste After Cosmetic Dentistry

Not all toothpaste formulas are safe for cosmetic dental work. Some can damage surfaces or reduce longevity.

Why Abrasive Toothpaste Can Ruin Cosmetic Results

Whitening toothpaste often contains harsh abrasives that scratch cosmetic dental restorations. Scratches make teeth appear dull and attract stains faster.

Choosing the correct toothpaste helps maintain smooth, polished surfaces.

Best Toothpaste for Veneers, Bonding, and Crowns

Dentists recommend low-abrasive toothpaste for cosmetic teeth. These formulas clean effectively without damaging materials like porcelain or composite resin. Fluoride toothpaste strengthens natural enamel around restorations and prevents decay, which is essential for long-term cosmetic success.

Toothpaste to Avoid After Cosmetic Treatment

Avoid charcoal toothpaste, heavy whitening toothpaste, and gritty formulas. These products can dull cosmetic crowns, weaken bonding edges, and increase staining over time. Using the wrong toothpaste is one of the most common reasons cosmetic results fade prematurely.

Managing Diet to Protect Cosmetic Dental Results

What you eat and drink plays a major role in how long cosmetic dental treatments last.

How Food and Drinks Affect Cosmetic Teeth

Highly pigmented foods and acidic beverages stain teeth and weaken surfaces. Even porcelain restorations can stain at the margins if exposed regularly to dark pigments.

Diet control is one of the easiest ways to maintain results.

Foods and Drinks to Limit After Cosmetic Dentistry

Coffee, tea, red wine, soda, berries, soy sauce, and curry are major staining culprits. Acidic drinks weaken enamel and bonding materials. Limiting these foods reduces discoloration and surface damage, helping your cosmetic results last longer.

Smart Eating Habits That Preserve Your Smile

Using a straw for dark drinks, rinsing with water after meals, and waiting 30 minutes before brushing after acidic foods help protect cosmetic teeth. These small habits significantly improve long-term appearance.

Maintaining Results After Teeth Whitening

Teeth whitening delivers dramatic results, but whitening effects naturally fade over time.

Why Whitening Results Are Not Permanent

Pigments from food and beverages gradually settle into enamel again. Lifestyle habits determine how fast this happens.

Proper maintenance slows down re-staining.

How to Keep Teeth White After Whitening

Avoid staining foods for the first 48 hours. Brush twice daily, floss consistently, and attend regular cleanings. Touch-up whitening trays provided by your dentist help maintain brightness safely without overdoing treatment.

How Often Whitening Touch-Ups Are Needed

Most patients need touch-ups every 6–12 months depending on habits. Over-whitening should be avoided, as it increases sensitivity and enamel stress.

Protecting Veneers and Crowns From Damage

Dental veneers and cosmetic crowns are durable but not indestructible.

Why Physical Habits Matter After Cosmetic Treatment

Chewing ice, biting nails, opening packages with teeth, and grinding can chip or crack restorations. Preventing physical stress is critical.

Habits to Avoid With Veneers and Crowns

Avoid biting hard objects and sticky foods. Do not use teeth as tools. These habits are leading causes of veneer fractures and crown damage.

Wearing a Night Guard for Teeth Grinding

Bruxism puts intense pressure on cosmetic restorations. A custom night guard protects veneers, crowns, and natural teeth from cracking and wear while preserving bite balance.

Importance of Regular Dental Checkups After Cosmetic Treatment

Professional monitoring ensures cosmetic work stays healthy and functional.

Why Maintenance Visits Are Critical

Dentists check margins, polish restorations, monitor bite alignment, and catch issues early. Small adjustments prevent major failures.

How Often You Should See Your Dentist

Routine dental visits every six months are ideal. Some cosmetic cases require more frequent monitoring, especially after extensive smile makeovers.

Professional Cleaning for Cosmetic Teeth

Dental hygienists use polishing tools safe for cosmetic materials. Professional cleaning removes surface stains and keeps restorations looking bright and smooth.

Gum Health and Cosmetic Dentistry Maintenance

Healthy gums frame a beautiful smile. Cosmetic results suffer if gum health declines.

Why Gum Health Affects Cosmetic Results

Inflamed or receding gums expose restoration edges and alter smile appearance. Gum disease can shorten restoration lifespan.

Preventing Gum Recession After Cosmetic Dentistry

Gentle brushing, flossing, and professional cleanings protect gums. Addressing early signs of gum inflammation prevents cosmetic complications.

Signs Your Gums Need Professional Attention

Bleeding, swelling, redness, or sensitivity around cosmetic teeth should never be ignored. Early treatment protects both aesthetics and oral health.

Lifestyle Choices That Impact Cosmetic Dental Longevity

Daily lifestyle choices either protect or damage cosmetic work.

Why Lifestyle Matters More Than You Think

Smoking, vaping, excessive alcohol, and poor hydration accelerate staining and gum disease.

Smoking and Cosmetic Dentistry

Smoking stains teeth quickly and damages gum tissue. Cosmetic results fade significantly faster in smokers compared to non-smokers.

Hydration and Saliva Production

Drinking enough water supports saliva flow, which naturally cleans teeth and neutralizes acids. Dry mouth increases staining and decay risk around restorations.

Long-Term Care for Smile Makeovers

Full smile makeovers require comprehensive maintenance strategies.

Why Smile Makeovers Need Extra Attention

Multiple restorations require balance in bite force, cleaning technique, and monitoring.

Bite Alignment and Cosmetic Stability

Proper bite alignment prevents uneven pressure that can fracture restorations. Dentists check occlusion regularly to protect cosmetic work.

Replacement Timeline for Cosmetic Restorations

Veneers and crowns may last 10–20 years with proper care. Periodic replacement ensures continued aesthetics and oral health.

Conclusion

Maintaining cosmetic dental results requires daily care, smart habits, and professional support. Proper brushing, flossing, diet control, regular dental visits, and lifestyle awareness help protect your investment and keep your smile looking its best. Cosmetic dentistry delivers long-lasting results when maintenance is taken seriously. For expert guidance, personalized aftercare, and long-term smile protection, trust a skilled Dentist in Beverly Hills, CA to help preserve your beautiful results.

FAQs

How long do cosmetic dental treatments last?

Most cosmetic treatments last 10–20 years with proper care, depending on the procedure and lifestyle habits.

What is the 50-40-30 rule in dentistry?

It refers to smile design proportions used to balance tooth width, facial structure, and aesthetic harmony.

How to take care of cosmetic teeth?

Brush gently, floss daily, avoid staining foods, wear a night guard if needed, and visit your dentist regularly.

How do I maintain my teeth after whitening?

Avoid stains, use touch-up trays as advised, brush twice daily, and attend regular cleanings.

Do teeth turn yellow again after whitening?

Yes, whitening fades over time, but good oral hygiene and touch-ups help maintain brightness longer.

The post How to Maintain Results After Cosmetic Dental Treatment appeared first on Confidental Beverly Hills.

]]>
https://confidentalbeverlyhills.com/how-to-maintain-results-after-cosmetic-dental-treatment/feed/ 0
How Safe Is Cosmetic Dentistry https://confidentalbeverlyhills.com/how-safe-is-cosmetic-dentistry/ https://confidentalbeverlyhills.com/how-safe-is-cosmetic-dentistry/#respond Tue, 20 Jan 2026 12:11:53 +0000 https://confidentalbeverlyhills.com/?p=6003 Cosmetic dentistry has become one of the most requested areas of modern dental care. From teeth whitening and veneers to smile makeovers and full-mouth reconstructions, millions of people worldwide choose cosmetic dental procedures to improve their appearance and confidence. But a common and very valid question remains: How safe is cosmetic dentistry? The short answer […]

The post How Safe Is Cosmetic Dentistry appeared first on Confidental Beverly Hills.

]]>
Cosmetic dentistry has become one of the most requested areas of modern dental care. From teeth whitening and veneers to smile makeovers and full-mouth reconstructions, millions of people worldwide choose cosmetic dental procedures to improve their appearance and confidence. But a common and very valid question remains: How safe is cosmetic dentistry?

The short answer is that cosmetic dentistry is generally very safe when performed correctly by a trained and experienced dental professional. However, like any medical or dental procedure, safety depends on proper diagnosis, treatment planning, materials used, and patient compliance. This in-depth guide explains everything you need to know about the safety of cosmetic dentistry, the risks, the benefits, and how to make informed decisions.

Understanding Cosmetic Dentistry and Its Purpose

Cosmetic dentistry focuses on improving the appearance of teeth, gums, and smiles while also supporting oral function. While some procedures are purely aesthetic, many cosmetic treatments also provide structural and functional benefits.

What Procedures Fall Under Cosmetic Dentistry

Common cosmetic dental procedures include teeth whitening, dental veneers, dental bonding, cosmetic crowns, invisible aligners, gum contouring, and smile makeovers. These treatments are designed to enhance tooth color, shape, size, alignment, and symmetry.

Between cosmetic goals and functional needs, modern dentistry often blends aesthetics with long-term oral health.

How Safe Is Cosmetic Dentistry Overall?

Cosmetic dentistry is considered safe when it follows evidence-based practices and is performed by licensed professionals using approved materials.

Why Modern Cosmetic Dentistry Is Safer Than Ever

Advancements in dental technology, digital imaging, biocompatible materials, and minimally invasive techniques have significantly improved safety. Dentists now rely on 3D scans, digital smile design, and precise diagnostics to reduce risks and improve outcomes.

Patient safety is also enhanced through strict sterilization standards, advanced anesthesia techniques, and regulated dental materials.

The Role of Dentist Expertise in Safety

The most important factor in cosmetic dentistry safety is the dentist’s experience and training.

Why Training and Credentials Matter

A qualified cosmetic dentist understands tooth anatomy, bite alignment, jaw function, and occlusion. Without this knowledge, cosmetic treatments can cause bite issues, tooth sensitivity, gum recession, or long-term damage.

Dentists with cosmetic training know when not to perform a procedure and when alternative treatments are safer.

Are Cosmetic Dental Materials Safe?

Yes, cosmetic dentistry uses materials that are thoroughly tested and approved for dental use.

Biocompatibility of Modern Dental Materials

Materials such as porcelain, ceramic, composite resin, and zirconia are biocompatible, meaning they do not harm tissues or cause allergic reactions in most patients. These materials are designed to withstand chewing forces while mimicking natural teeth.

Safety standards ensure that materials placed in the mouth do not release harmful substances.

Safety of Common Cosmetic Dental Procedures

Different cosmetic procedures carry different levels of invasiveness and risk. Understanding each helps patients make informed decisions.

Is Teeth Whitening Safe?

Professional teeth whitening is one of the safest cosmetic dental treatments.

Dentist-supervised whitening uses controlled concentrations of peroxide and protects gums and enamel. Over-the-counter kits and DIY remedies often cause enamel damage and sensitivity when misused.

When done correctly, professional teeth whitening does not damage enamel and is considered very safe.

Are Dental Veneers Safe for Teeth?

Dental veneers are safe when properly planned and conservatively prepared.

Traditional veneers require minimal enamel removal. This is safe when done conservatively. Problems arise when excessive enamel is removed unnecessarily.

Modern veneers focus on minimal-prep techniques, which preserve natural tooth structure and improve long-term safety.

Is Dental Bonding a Safe Option?

Dental bonding is one of the least invasive cosmetic treatments.

Bonding does not require enamel removal and is reversible. It uses tooth-colored resin that is hardened with a curing light. This makes bonding extremely safe, especially for minor cosmetic corrections.

Are Cosmetic Crowns Safe?

Cosmetic crowns are safe when used appropriately.

When Crowns Are Necessary vs. Overused

Crowns are best for teeth that are structurally weak or heavily damaged. Overuse of crowns on healthy teeth can lead to unnecessary tooth reduction. Ethical cosmetic dentists recommend crowns only when function and strength require them.

Safety of Orthodontic Cosmetic Treatments

Cosmetic orthodontics focuses on straightening teeth discreetly.

Are Clear Aligners Safe?

Clear aligners are safe when treatment is supervised by a dentist. Problems occur when patients use mail-order aligners without proper evaluation, which can cause bite damage and root movement issues.

Short-Term Side Effects of Cosmetic Dentistry

Even safe procedures may cause temporary side effects. Patients may experience tooth sensitivity, gum irritation, or minor discomfort after cosmetic treatments. These effects usually resolve within days to weeks and are considered normal.

Long-Term Safety of Cosmetic Dentistry

Long-term safety depends on proper care and maintenance. Well-maintained cosmetic work can last 10–20 years or longer. Poor oral hygiene, teeth grinding, or skipping dental visits can reduce longevity and cause complications.

Risks Associated With Poorly Done Cosmetic Dentistry

Cosmetic dentistry becomes unsafe when performed incorrectly. Risks include bite misalignment, jaw pain, gum recession, chronic sensitivity, cracked teeth, and aesthetic failure. These issues highlight the importance of choosing an experienced provider.

Cosmetic Dentistry vs. Oral Health: Finding Balance

Cosmetic goals should never compromise oral health. A safe cosmetic plan always considers bite, gum health, and tooth structure before aesthetics. This balance prevents future dental problems.

Is Cosmetic Dentistry Safe for Everyone?

Not every patient is a candidate for every cosmetic procedure. People with severe gum disease, untreated cavities, bruxism, or TMJ disorders may need foundational treatment before cosmetic work.

Safety of Cosmetic Dentistry for Older Adults

Age does not disqualify patients from cosmetic dentistry. Healthy gums and bones matter more than age. Many older adults safely undergo cosmetic treatments with excellent results.

How to Ensure Cosmetic Dentistry Is Safe for You

Patients play a role in safety too.

Choosing a qualified dentist, asking questions, understanding risks, following post-treatment instructions, and maintaining oral hygiene are essential for safety.

The Psychological Safety of Cosmetic Dentistry

Cosmetic dentistry also affects mental well-being. Ethical dentists help patients set realistic goals, ensuring cosmetic improvements enhance confidence without unrealistic expectations.

Cost and Safety: Are Cheap Cosmetic Procedures Risky?

Lower cost often means compromises. Discount procedures may use inferior materials or skip diagnostic steps. Safety should never be sacrificed for price.

Technology and Safety in Modern Cosmetic Dentistry

Technology plays a major role in reducing risks. Digital planning allows dentists to visualize outcomes before treatment, reducing errors and improving predictability.

Cosmetic Dentistry Maintenance and Long-Term Safety

Maintenance is key to safety. Routine checkups allow dentists to monitor cosmetic work and prevent minor issues from becoming serious problems.

Conclusion

Cosmetic dentistry is widely regarded as safe, effective, and reliable when performed responsibly. Advances in dental technology, materials, and techniques have made cosmetic procedures more predictable and less invasive than ever before. Safety depends on proper diagnosis, ethical treatment planning, and skilled execution. When cosmetic dentistry respects both aesthetics and function, it enhances smiles without compromising oral health. Choosing a trusted and experienced Dentist in Beverly Hills, CA ensures that cosmetic improvements are not only beautiful but also safe and long-lasting.

FAQs

Is cosmetic dentistry safe?

Yes. Cosmetic dentistry is safe when performed by a qualified dentist using approved materials and proper techniques.

What is the 50-40-30 rule in dentistry?

The 50-40-30 rule refers to smile aesthetics proportions used in cosmetic planning to create balance between teeth width, facial features, and smile harmony.

What happens after 10 years of veneers?

After 10 years, veneers may show wear or discoloration. Many last longer with good care, but some may need replacement due to normal aging.

Are teeth rotting under veneers?

No, teeth do not rot under veneers if proper oral hygiene is maintained. Decay only occurs if plaque builds up around the edges.

Why do dentists advise against veneers?

Dentists advise against veneers when they are unnecessary, overly aggressive, or when enamel removal could compromise tooth health.

What is the cheapest way to replace all your teeth?

Complete dentures are generally the most affordable option, though they may not offer the same stability as implant-supported solutions.

The post How Safe Is Cosmetic Dentistry appeared first on Confidental Beverly Hills.

]]>
https://confidentalbeverlyhills.com/how-safe-is-cosmetic-dentistry/feed/ 0
What Are the Side Effects of Dental Restoration https://confidentalbeverlyhills.com/what-are-the-side-effects-of-dental-restoration/ https://confidentalbeverlyhills.com/what-are-the-side-effects-of-dental-restoration/#respond Thu, 15 Jan 2026 12:31:37 +0000 https://confidentalbeverlyhills.com/?p=5663 Dental restoration procedures have revolutionized modern dentistry, offering effective solutions for damaged, decayed, or missing teeth. While these treatments provide remarkable benefits in restoring both function and aesthetics, patients frequently wonder about potential side effects of dental restoration before committing to treatment. Understanding the complete picture including temporary discomfort, common complications, and rare adverse reactions […]

The post What Are the Side Effects of Dental Restoration appeared first on Confidental Beverly Hills.

]]>
Dental restoration procedures have revolutionized modern dentistry, offering effective solutions for damaged, decayed, or missing teeth. While these treatments provide remarkable benefits in restoring both function and aesthetics, patients frequently wonder about potential side effects of dental restoration before committing to treatment. Understanding the complete picture including temporary discomfort, common complications, and rare adverse reactions empowers you to make informed decisions about your oral health care. Most dental restoration side effects are mild, temporary, and manageable with proper care and professional guidance. However, being aware of what to expect during recovery, which symptoms fall within normal parameters, and when to seek immediate dental attention ensures the best possible outcomes from your restorative treatment.

Common Immediate Side Effects After Dental Restoration

The hours immediately following your restorative dental procedure present a unique set of sensations and symptoms as your mouth begins the healing process. These initial post-procedure side effects represent your body’s natural response to dental intervention and typically resolve within the first 24 to 72 hours.

Understanding which immediate reactions are completely normal helps distinguish expected discomfort from genuine complications requiring professional attention. The intensity and duration of these side effects vary considerably based on the procedure type, the extent of dental work performed, and individual healing characteristics.

Numbness and Anesthesia Effects

Numbness after dental work ranks among the most common immediate side effects, resulting from the local anesthetic administered during your procedure. This temporary loss of sensation typically affects your lips, tongue, cheeks, and the treated area, persisting for two to four hours after leaving the dental office. While the numbness provides comfort during treatment, it creates challenges afterward you may accidentally bite your cheek or tongue, have difficulty speaking clearly, or drool without realizing it. The sensation gradually dissipates as the anesthetic medication metabolizes, though some patients experience a tingling or “pins and needles” feeling during this transition period.

Pain and Discomfort

As the anesthesia wears off, you’ll likely experience some degree of dental pain or discomfort in the treated area. This response represents normal tissue inflammation following the procedure. The intensity varies dramatically; simple dental fillings typically cause minimal soreness lasting just a day or two, while more extensive procedures like dental crown preparation, root canal therapy, or dental implant placement may generate moderate to significant pain for several days. The discomfort usually peaks within the first 24 to 48 hours before gradually improving with each passing day.

Swelling and Inflammation

Swelling after dental procedures occurs as your body’s immune system responds to the intervention, increasing blood flow and mobilizing healing resources to the affected area. Minor puffiness around the treated tooth or in the surrounding gum tissue is completely expected, particularly after invasive procedures involving bone or extensive gum manipulation. The swelling typically reaches its maximum at the 48 to 72-hour mark, then progressively diminishes over the following week. Applying cold compresses during the first 24 hours helps minimize inflammation and provides numbing relief.

Bleeding and Oozing

Light bleeding after dental restoration is normal, especially following procedures that involve gum tissue manipulation, tooth extraction, or implant surgery. You may notice pink-tinged saliva or minor oozing from the treatment site for several hours post-procedure. This bleeding typically stops on its own as protective blood clots form. However, persistent bright red bleeding that doesn’t respond to gentle pressure with sterile gauze requires immediate professional evaluation, as it may indicate a complication requiring intervention.

Tooth Sensitivity Following Restoration Procedures

Tooth sensitivity after dental work represents one of the most frequently reported side effects, affecting a significant percentage of patients who undergo restorative treatments. This heightened reactivity to various stimuli can range from mild annoyance to considerable discomfort, though it typically improves progressively over several weeks.

The underlying mechanisms causing post-restoration sensitivity are complex, involving changes to the tooth structure, exposure of microscopic tubules within the dentin layer, and irritation to the dental pulp during preparation and placement of restorative materials.

Temperature Sensitivity

Sensitivity to hot and cold foods and beverages commonly develops after dental restorations, particularly following deep cavity preparations or crown placements that remove significant tooth structure. When you consume ice-cold water or hot coffee, you may experience sharp, shooting pain that subsides quickly once the temperature stimulus is removed. This reaction occurs because the restorative procedure temporarily irritates the nerve-rich pulp tissue inside your tooth, making it hyperreactive to temperature changes. Most patients notice gradual improvement over two to six weeks as the pulp tissue calms down and adapts to the restoration.

Pressure and Chewing Sensitivity

Pain when biting down or applying pressure to a restored tooth frequently occurs in the days and weeks following treatment. This sensitivity to chewing may indicate that the restoration sits slightly high, preventing your teeth from coming together properly when you bite. Alternatively, the ligaments supporting your tooth may be inflamed from the procedure itself, creating tenderness when pressure is applied. If chewing discomfort persists beyond two weeks or significantly interferes with eating, contact your dentist for evaluation—you may need a simple bite adjustment to resolve the issue.

Sweet Sensitivity

Some patients experience sharp sensitivity to sweet foods after receiving dental restorations, particularly with composite fillings. This reaction occurs when the filling material doesn’t perfectly seal microscopic gaps at the tooth-restoration interface, allowing sugar molecules to penetrate toward the nerve. The osmotic effect of concentrated sugar solutions irritates nerve endings, creating brief but intense discomfort. This sensitivity typically diminishes as the restoration settles and natural mineral deposits help seal any microscopic gaps.

Duration of Sensitivity Symptoms

The timeline for tooth sensitivity after restoration varies considerably based on procedure complexity and individual healing patterns. Simple, shallow fillings may cause sensitivity for just a few days, while deep fillings close to the nerve can generate heightened sensitivity for six to eight weeks. Crown sensitivity often persists for four to six weeks as tissues adapt to the new restoration. If sensitivity progressively worsens rather than improves, or continues beyond eight weeks, professional evaluation is necessary to rule out complications like restoration failure or pulp inflammation requiring additional treatment.

Gum and Soft Tissue Reactions

The soft tissues surrounding your restored tooth including gums, cheeks, tongue, and lips frequently experience temporary side effects following dental procedures. These reactions result from physical manipulation during treatment, contact with dental materials, or the body’s inflammatory response to the intervention.

While most gum side effects resolve spontaneously within days to weeks, understanding what’s normal versus concerning helps you provide appropriate self-care while recognizing symptoms requiring professional attention.

Gum Tenderness and Soreness

Sore gums after dental work commonly develop when dental instruments, retraction cords, or impression materials contact or compress gum tissue during your procedure. The affected areas may appear slightly red and feel tender to touch or during tooth brushing. This localized gum inflammation typically peaks within 24 to 48 hours, then gradually resolves over the following week. Rinsing with warm salt water several times daily soothes tissues and promotes healing. However, if gum soreness intensifies after three days or develops into throbbing pain, it may indicate infection requiring antibiotic treatment.

Tissue Irritation from Dental Materials

Certain patients develop allergic reactions to dental materials, though such responses are relatively uncommon. Metal allergies, particularly to nickel found in some dental alloys, can cause gum inflammation, redness, or even ulceration where the restoration contacts soft tissues. Composite resin materials occasionally trigger sensitivity reactions in susceptible individuals. If you notice persistent gum irritation, burning sensations, or tissue changes specifically adjacent to your new restoration, inform your dentist—you may require alternative materials.

Temporary Changes in Gum Contour

The gum tissue around your restoration may temporarily change appearance or contour following your procedure. Minor recession, puffiness, or altered tissue architecture often occurs after crown preparations that extend below the gum line or after procedures requiring gum manipulation. In most cases, the tissues gradually remodel and adapt to the restoration contours over several weeks, establishing a healthy, natural-looking gum line. However, significant or progressive gum recession requires evaluation to ensure proper restoration fit and margins.

Ulcers and Abrasions

Small mouth sores or abrasions sometimes develop on the cheeks, lips, or tongue following dental procedures, particularly if tissues were stretched during treatment or if you accidentally bit numb areas before sensation returned. These minor injuries typically heal within five to seven days without intervention. Applying topical oral gel designed for mouth sores provides symptomatic relief. If ulcers persist beyond ten days, expand in size, or develop signs of infection like increasing pain or pus formation, seek professional evaluation.

Bite and Jaw-Related Side Effects

Changes to your bite represent a frequently overlooked category of dental restoration side effects that can significantly impact comfort and function. Even microscopic alterations in tooth height or contour can feel dramatically pronounced due to the extreme sensitivity of the proprioceptive sensors in your jaw and facial muscles.

Understanding how restorations affect your occlusion (the way your upper and lower teeth come together) helps distinguish normal adaptation periods from situations requiring professional adjustment.

High Bite Sensation

A high filling or crown that hasn’t been properly adjusted represents one of the most common complaints following restorative procedures. When you bite down, the restored tooth contacts first or with excessive force compared to your other teeth, creating an uneven, uncomfortable sensation. This uneven bite may feel tolerable initially but can develop into jaw pain, headaches, or tooth soreness with continued chewing. While minor high spots sometimes resolve as the restoration settles slightly or as opposing teeth wear microscopically, persistent bite irregularities require professional adjustment rather than accommodation.

Jaw Pain and TMJ Symptoms

Jaw pain after dental work frequently develops when patients hold their mouth open for extended periods during lengthy procedures, straining the temporomandibular joint (TMJ) and surrounding muscles. This discomfort typically manifests as soreness when opening wide, chewing, or moving your jaw side-to-side. The symptoms usually resolve within three to five days as muscles recover. Applying moist heat, taking over-the-counter anti-inflammatory medications, and eating soft foods that require minimal chewing effort facilitate recovery. However, if jaw pain persists beyond two weeks or intensifies rather than improves, evaluation for TMJ disorders is warranted.

Difficulty Chewing or Closing Teeth Properly

New dental restorations sometimes create difficulty chewing if they alter your natural bite pattern or interfere with comfortable jaw closure. You may notice that your teeth don’t fit together the way they did before treatment, or that chewing feels awkward and inefficient. While a brief adjustment period is normal your proprioceptive system needs time to recalibrate to the new tooth contours persistent problems chewing or closing your teeth properly after two to three weeks indicate the need for bite adjustment by your dentist.

Headaches and Muscle Tension

Headaches after dental procedures can result from multiple factors—jaw muscle strain from prolonged mouth opening, stress and tension related to the dental appointment, or bite irregularities forcing jaw muscles to work harder during chewing. These tension headaches typically occur in the temples or back of the head and may be accompanied by neck stiffness. Most resolve within a few days with rest, over-the-counter pain relievers, and stress reduction. Chronic headaches persisting beyond a week, especially when associated with an uneven bite sensation, warrant professional evaluation to determine if bite adjustment would provide relief.

Complications and Adverse Reactions

While most dental restoration side effects are mild and temporary, certain patients experience more significant complications after dental work requiring additional treatment or intervention. Understanding these potential adverse outcomes helps you recognize warning signs early, when prompt action can prevent minor problems from evolving into serious issues.

The frequency of complications varies considerably based on procedure type, restoration complexity, patient health status, and adherence to post-procedure care instructions.

Infection Following Dental Restoration

Dental infection represents one of the most serious potential complications after restorative procedures, though proper sterile technique and post-procedure care make it relatively uncommon. Signs of infection include intensifying pain after the third or fourth day (rather than improving), swelling that expands rather than diminishes, fever above 101°F, foul-smelling discharge from the treatment site, and development of an abscess—a pus-filled pocket in the gum tissue. Infections require immediate professional attention and typically necessitate antibiotic therapy, drainage procedures, or in severe cases, removal of the restoration to eliminate the infection source.

Restoration Failure or Damage

Dental restoration failure occurs when fillings crack or fall out, crowns become loose or dislodge, or other restorative work fails to maintain its structural integrity. Multiple factors contribute to restoration failure: inadequate tooth structure to support the restoration, grinding or clenching habits placing excessive force on materials, underlying decay developing at restoration margins, or simply material degradation over time. Early restoration failure (within weeks or months of placement) may indicate technical placement issues or material defects, warranting replacement by your dental provider.

Allergic Reactions to Dental Materials

Though uncommon, allergic reactions to dental materials can produce significant side effects requiring restoration removal and replacement with alternative materials. Metal allergies most frequently involve nickel, but some patients react to other components in dental alloys. Symptoms of material allergy include persistent gum inflammation around the restoration, burning or metallic taste, tissue ulceration, or even systemic reactions like rashes. If you have known allergies to metals or other materials, inform your dentist in Beverly Hills, CA before treatment so appropriate alternative materials can be selected.

Nerve Damage or Persistent Pain

Rarely, dental procedures damage or irritate nerves, causing persistent numbness, altered sensation, or chronic pain extending beyond normal healing timeframes. Deep cavity preparations, tooth extractions, or implant placement carry small risks of nerve involvement, particularly in the lower jaw where the inferior alveolar nerve runs through the bone. While most nerve irritation resolves within weeks to months as tissues heal and inflammation subsides, significant nerve damage may cause permanent sensory changes. Any numbness, tingling, or pain persisting beyond two weeks requires thorough evaluation to determine appropriate management strategies.

Long-Term Side Effects of Different Restoration Types

Different types of dental restorations present unique side effect profiles, both in the immediate post-procedure period and over the long term. Understanding the specific considerations for your particular restoration type helps set realistic expectations and informs appropriate maintenance strategies.

The longevity and potential complications of restorations depend heavily on material selection, placement technique, maintenance habits, and biomechanical forces experienced during normal function.

Dental Filling Side Effects

Composite fillings occasionally cause prolonged tooth sensitivity that can persist for weeks or even months after placement, particularly when the filling is large or deep. The polymerization shrinkage that occurs as composite material hardens can create microscopic gaps at the tooth-filling interface, allowing bacterial infiltration and recurrent decay over time. Amalgam fillings rarely cause immediate sensitivity but may lead to tooth fractures years later if the remaining tooth structure becomes brittle. Both filling types eventually wear down, requiring replacement typically every 7 to 15 years depending on size, location, and chewing forces.

Crown and Bridge Complications

Dental crowns commonly cause initial gum irritation where the crown margin contacts soft tissue, though this typically resolves as tissues adapt. Long-term complications include crown sensitivity that persists if the underlying tooth remains vital (not root canal treated), crown loosening due to cement degradation, or fracture of the porcelain covering on porcelain-fused-to-metal crowns. Dental bridges create additional cleaning challenges, as the artificial tooth (pontic) suspended between crowns requires special flossing techniques. Failure to maintain meticulous hygiene around bridges can lead to decay on the supporting teeth or gum disease in the area.

Dental Implant Side Effects

Dental implants present unique potential complications both short and long-term. Immediate risks after implant surgery include infection at the surgical site, excessive bleeding, or damage to adjacent structures like nerves or sinus cavities. The most significant long-term complication is implant failure when the titanium post fails to integrate properly with the jawbone or loses integration over time. Peri-implantitis, an inflammatory condition affecting tissues around implants, resembles gum disease and can cause bone loss threatening implant stability. Success rates remain high (95-98%) with proper patient selection and maintenance, but smokers and patients with uncontrolled diabetes face elevated failure risks.

Root Canal Treatment Side Effects

Teeth receiving root canal therapy followed by restorations may experience prolonged tenderness as surrounding tissues recover from the infection and inflammation that necessitated the endodontic treatment. Some patients notice the treated tooth feels slightly different—less “alive” since the nerve has been removed, though it remains functional for chewing. The tooth becomes more brittle after root canal treatment due to moisture loss and structural alterations, increasing fracture risk. This is why dentists typically recommend dental crown placement on root canal-treated posterior teeth to provide protective reinforcement and prevent fractures that could necessitate extraction.

Managing and Minimizing Restoration Side Effects

While you cannot completely eliminate side effects after dental restoration, strategic approaches during both the procedure and recovery period significantly reduce symptom severity and duration. Proactive pain management, appropriate self-care, and adherence to professional recommendations optimize healing while minimizing complications.

Taking an active role in your recovery rather than passively enduring discomfort empowers you to influence outcomes positively and recognize situations requiring professional intervention.

Pre-Procedure Preparation

Preparing for dental restoration begins before your appointment. Discuss any anxieties or concerns with your dentist, as reducing stress improves outcomes. Inform your dental team about all medications, allergies, and health conditions that might impact healing. If you’re prone to anxiety, ask about sedation options that can make lengthy procedures more comfortable. Arrange transportation if sedation will be used. Take prescribed antibiotics or pain medication according to your dentist’s pre-procedure instructions. These preparatory steps establish the foundation for smooth treatment and recovery.

Pain Management Strategies

Effective pain control after dental work involves multiple approaches. Take prescribed or recommended over-the-counter pain medications proactively—before the anesthetic wears off rather than waiting until discomfort becomes severe. Anti-inflammatory medications like ibuprofen address both pain and swelling simultaneously, making them particularly effective for post-dental procedure pain. Apply cold compresses to the external facial area near the treatment site during the first 24 to 48 hours, using 20-minute intervals with breaks between applications. After 48 hours, switch to moist heat applications, which improve blood flow and promote healing.

Dietary Modifications

Your diet after dental restoration significantly impacts comfort and healing. Stick exclusively to soft foods requiring minimal chewing effort for the first few days—think yogurt, smoothies (consumed with a spoon, not a straw), mashed potatoes, eggs, protein shakes, and well-cooked pasta. Avoid extremely hot, cold, spicy, acidic, hard, crunchy, sticky, or chewy foods that might irritate healing tissues or stress the new restoration. Gradually reintroduce more textured foods as comfort improves, but continue chewing predominantly on the opposite side from your restoration. Stay well-hydrated with room-temperature water throughout recovery.

Oral Hygiene Adjustments

Maintaining oral hygiene after dental work remains essential but requires temporary modifications. Continue brushing twice daily using a soft-bristled toothbrush, but exercise extra gentleness around the restoration site for the first week. Rinse with warm salt water (one-half teaspoon salt dissolved in eight ounces of water) three to four times daily to reduce bacteria, soothe tissues, and promote healing. Avoid vigorous swishing or spitting that might dislodge protective blood clots if extractions were performed. Resume flossing around the restoration carefully after a few days, unless your dentist provides different instructions for your specific situation.

When to Contact Your Dentist About Side Effects

Distinguishing normal post-restoration symptoms from complications requiring professional attention represents a crucial skill for all dental patients. While most side effects resolve naturally with time and appropriate self-care, certain warning signs demand immediate evaluation.

Understanding these red flags after dental work ensures you receive timely intervention when needed while avoiding unnecessary emergency appointments for expected symptoms.

Signs of Infection Requiring Immediate Attention

Infection symptoms necessitate urgent professional evaluation and typically require antibiotic treatment. Contact your dentist immediately if you develop fever above 101°F, severe pain that intensifies rather than improves after the third day, significant swelling that expands beyond the treatment area or affects your ability to swallow or breathe, pus or foul-smelling discharge from the restoration site, or red streaking from the affected area toward other parts of your face. These signs indicate bacterial infection that won’t resolve without intervention and may spread to surrounding tissues or even systemically if left untreated.

Persistent or Worsening Pain

While some dental pain is expected after restorative procedures, the trajectory should clearly trend toward improvement. Contact your dentist if pain remains constant or intensifies beyond the third or fourth day post-procedure, if severe pain isn’t adequately controlled by prescribed medications, or if you experience throbbing pain that keeps you awake at night despite medication. These patterns may indicate complications like exposed nerves, restoration failure, or developing infection requiring additional treatment beyond routine post-procedure care.

Bite Problems and Jaw Dysfunction

Restoration-related bite problems warrant professional attention if they persist beyond the normal adaptation period. Schedule an appointment if your restored tooth feels consistently high when you bite down after a week, if you experience jaw pain, headaches, or muscle soreness that intensifies rather than improves, or if you have difficulty closing your teeth together comfortably. These issues typically resolve quickly with simple bite adjustment procedures that selectively reduce high spots on the restoration, realigning your bite and eliminating discomfort.

Allergic Reaction Symptoms

Although allergic reactions to dental materials are uncommon, they require prompt recognition and management. Seek immediate attention if you develop difficulty breathing, significant swelling of the lips, tongue, or throat, widespread rash or hives, or dizziness following your dental procedure these indicate potentially serious systemic allergic reactions. Contact your dentist (non-urgently) if you notice persistent burning sensations, metallic taste, tissue ulceration specifically around the new restoration, or unexplained rash development within days of your dental work. Material allergy may necessitate restoration removal and replacement with alternative materials.

Conclusion

Understanding the side effects of dental restoration empowers you to approach necessary dental treatments with realistic expectations rather than anxiety-inducing uncertainty. While various side effects can occur ranging from temporary tooth sensitivity and mild discomfort to rare complications like infection or allergic reactions the vast majority of patients experience straightforward recoveries with minor, manageable symptoms that resolve within days to weeks. The key to optimal outcomes lies in selecting an experienced dental provider, communicating openly about concerns and health conditions, following post-procedure instructions meticulously, and promptly addressing any unusual or persistent symptoms. Modern restorative dentistry offers remarkably predictable, long-lasting solutions for damaged or missing teeth, and the temporary side effects you may experience represent a small price for restored dental function, improved aesthetics, and enhanced quality of life. If you’re experiencing concerning symptoms after dental work or considering restorative treatment and want to discuss potential side effects specific to your situation, don’t hesitate to consult with qualified dental professionals who can provide personalized guidance based on your unique oral health needs.

Frequently Asked Questions

What are the risks of dental restoration?

The risks of dental restoration include both common minor complications and rare serious adverse events. Common risks involve temporary tooth sensitivity to temperature or pressure lasting weeks to months, mild to moderate pain during the healing period, gum irritation or soreness around the restoration, and potential bite irregularities requiring adjustment. More significant risks include restoration failure (filling falling out, crown loosening), development of infection at the treatment site requiring antibiotic therapy, allergic reactions to dental materials, or recurrent decay forming at restoration margins if oral hygiene is inadequate. Rare but serious risks associated with extensive procedures like dental implants include nerve damage causing numbness or altered sensation, sinus complications, or implant failure requiring removal. The specific risk profile depends heavily on procedure type, patient health status, smoking habits, and oral hygiene practices.

What are the negative side effects of dental implants?

Negative side effects of dental implants can occur both immediately after surgery and during the long-term healing period. Immediate side effects include pain and discomfort at the surgical site lasting several days to weeks, swelling and bruising of gums and face peaking at 48-72 hours post-surgery, minor bleeding or oozing for the first 24 hours, and temporary difficulty eating or speaking. Short-term complications may involve infection at the implant site, damage to adjacent teeth or blood vessels, nerve injury causing numbness or tingling in the lip or chin, or sinus problems if upper jaw implants penetrate the sinus cavity. Long-term side effects include implant failure (when the post doesn’t integrate with bone), peri-implantitis (inflammatory condition causing bone loss around implants similar to gum disease), and mechanical complications like loosening of the crown attached to the implant or screw fractures. Success rates remain high (95-98%) with proper patient selection and maintenance.

Does teeth restoration really work?

Yes, teeth restoration works extremely effectively for repairing damaged, decayed, or missing teeth when performed by qualified dental professionals. Modern restorative dentistry offers proven solutions with high success rates; dental fillings last 7-15 years on average, crowns typically function well for 10-15 years or longer, and dental implants boast success rates exceeding 95% over 10+ years. Restorations effectively restore normal chewing function, prevent further tooth deterioration, eliminate pain from decay or damage, improve aesthetic appearance, and maintain proper jaw alignment and facial structure. The effectiveness depends on several factors: selecting the appropriate restoration type for your specific situation, proper technique during placement, using quality materials, maintaining excellent oral hygiene after treatment, and attending regular dental checkups. Patients who follow post-procedure care instructions and maintain good oral health habits experience the best long-term outcomes from restorative treatments.

What to expect after a tooth restoration?

After tooth restoration, expect some degree of numbness from local anesthesia lasting 2-4 hours, followed by mild to moderate discomfort or sensitivity as the anesthetic wears off. The treated tooth may feel tender when chewing or react sharply to hot and cold temperatures for several days to weeks, with sensitivity typically peaking within the first 48-72 hours then gradually improving. You might notice the restoration feels slightly unusual or high when you bite down and your mouth needs time to adapt to the new contours. Minor gum soreness around the restoration site is common and resolves within a week. For the first few days, stick to soft foods and avoid chewing directly on the restoration. Most patients can return to normal activities within 24 hours for simple procedures, though more extensive work may require several days of restricted activity and dietary modifications.

What to avoid after tooth restoration?

After tooth restoration, avoid eating or drinking while your mouth remains numb to prevent accidentally biting your cheek or tongue. Don’t consume extremely hot or cold foods for several days, as temperature sensitivity is common. Avoid hard foods like nuts or hard candy, sticky foods like caramel or taffy, and chewy items like tough meat or bagels that could stress or dislodge the restoration, especially if temporary materials are in place. Don’t use tobacco products, as smoking significantly impairs healing and increases complication risks. Avoid alcohol consumption while taking pain medications and limit it generally during the first week. Don’t skip medications even if you feel better completing the full course of prescribed antibiotics or pain relievers optimizes healing. Avoid vigorous exercise or strenuous activities for 24-48 hours after extensive procedures, as elevated blood pressure can trigger bleeding or increased swelling.

The post What Are the Side Effects of Dental Restoration appeared first on Confidental Beverly Hills.

]]>
https://confidentalbeverlyhills.com/what-are-the-side-effects-of-dental-restoration/feed/ 0
What to Expect After a Restorative Dental Procedure https://confidentalbeverlyhills.com/what-to-expect-after-a-restorative-dental-procedure/ https://confidentalbeverlyhills.com/what-to-expect-after-a-restorative-dental-procedure/#respond Thu, 15 Jan 2026 12:26:51 +0000 https://confidentalbeverlyhills.com/?p=5660 Undergoing a restorative dental procedure marks an important step toward reclaiming your oral health and confidence. Whether you’ve received dental fillings, dental crowns, dental bridges, or dental implants, understanding the recovery process helps ensure optimal healing and long-term success. The journey doesn’t end when you leave the dental chair proper post-procedure care significantly influences your […]

The post What to Expect After a Restorative Dental Procedure appeared first on Confidental Beverly Hills.

]]>
Undergoing a restorative dental procedure marks an important step toward reclaiming your oral health and confidence. Whether you’ve received dental fillings, dental crowns, dental bridges, or dental implants, understanding the recovery process helps ensure optimal healing and long-term success. The journey doesn’t end when you leave the dental chair proper post-procedure care significantly influences your comfort level, healing timeline, and the longevity of your restoration. Knowing what physical sensations are normal, which symptoms warrant immediate attention, and how to care for your treated teeth empowers you to navigate the recovery period with confidence and peace of mind.

Understanding Immediate Post-Procedure Sensations

The first few hours following your restorative dental treatment present unique sensations as your mouth adjusts to the work performed. Your experience will vary depending on the procedure type, the extent of treatment, and whether local anesthesia was administered during your appointment.

Immediately after leaving the dental office, you may notice lingering numbness from the anesthetic injection that can persist for two to four hours. This temporary loss of sensation affects your ability to eat, drink, and speak normally, requiring extra caution to avoid accidentally biting your cheek, tongue, or lips. The numbness gradually dissipates as the medication wears off, though some patients experience a tingling sensation during this transition period.

Managing Numbness and Anesthesia Effects

While the numbing medication provides crucial comfort during your procedure, it creates temporary challenges afterward. Avoid consuming hot beverages or foods until full sensation returns to prevent accidental burns to your soft tissues. Similarly, refrain from chewing on the numb side of your mouth to eliminate the risk of tissue damage. Children especially require supervision during this period, as they may find the sensation unusual and attempt to bite or play with the numb areas.

Initial Discomfort and Pain Levels

As the anesthesia subsides, you’ll likely experience some degree of dental discomfort or sensitivity in the treated area. This reaction represents your body’s natural inflammatory response to the dental work performed. The intensity varies considerably; minor procedures like simple fillings typically cause minimal discomfort, while extensive treatments involving tooth extraction, root canal therapy, or implant placement may generate more pronounced pain that peaks within the first 24 to 48 hours.

Normal Swelling and Inflammation

Swelling after dental procedures serves as a natural protective mechanism, though its presence can feel alarming. Minor puffiness around the treated tooth or in the surrounding gum tissue is completely expected, particularly after more invasive procedures. This inflammation typically reaches its maximum at the 48 to 72-hour mark before gradually subsiding over the following week.

Bleeding and Discharge Expectations

Light bleeding or oozing from the treatment site, especially after procedures involving gum tissue manipulation or tooth extractions, falls within normal parameters. You may notice pink-tinged saliva for several hours post-procedure. However, persistent bright red bleeding requires immediate attention and intervention from your dental provider.

Temperature Sensitivity Changes

Tooth sensitivity to hot and cold temperatures frequently occurs after restorative work, even when the procedure was relatively straightforward. Your tooth may react sharply to temperature extremes for several days or weeks as the dental pulp adjusts to the restoration. This sensitivity typically diminishes progressively, though it may persist longer after deep fillings or extensive crown preparations.

First 24 Hours: Critical Recovery Period

The initial day following your dental restoration procedure establishes the foundation for successful healing. Your actions during this crucial window significantly impact your comfort level, reduce complication risks, and set the stage for optimal recovery outcomes.

During these first 24 hours, your body mobilizes its healing resources to the treatment site. Blood clot formation, inflammatory responses, and tissue repair processes all accelerate during this period. Understanding how to support these natural healing mechanisms while avoiding behaviors that disrupt them ensures the smoothest possible recovery trajectory.

Dietary Restrictions and Food Choices

Your post-procedure diet requires thoughtful consideration during the first day. Stick exclusively to soft foods that require minimal chewing effort—think smoothies, yogurt, mashed potatoes, scrambled eggs, and protein shakes. These gentle options provide necessary nutrition without stressing the treated area or risking damage to new restorations. Avoid extremely hot foods and beverages that could increase inflammation or cause burns while residual numbness persists.

Oral Hygiene Modifications

While maintaining oral hygiene after dental work remains essential, you’ll need to modify your approach around the treatment site. Continue brushing your teeth gently but exercise extreme caution near the affected area for the first 24 hours. Use a soft-bristled toothbrush and avoid aggressive scrubbing motions. Rinse your mouth gently with lukewarm water after meals, but avoid vigorous swishing that might dislodge protective blood clots or disturb healing tissues.

Activity Level and Physical Restrictions

Physical activity after dental procedures should be significantly curtailed during the first 24 hours. Vigorous exercise, heavy lifting, and strenuous activities increase blood pressure and circulation, potentially triggering bleeding, heightening swelling, or causing throbbing discomfort at the treatment site. Instead, prioritize rest and relaxation, keeping your head elevated when lying down to minimize blood flow to the healing area.

Sleep Position Recommendations

Your sleeping position influences both comfort and healing. Elevate your head with an extra pillow to reduce blood flow to the treatment area, which helps minimize swelling and throbbing sensations. Avoid sleeping directly on the side of your mouth that received treatment, as pressure against that area may cause unnecessary discomfort or disrupt healing processes.

Medication Schedule and Pain Management

Follow your dentist’s pain management recommendations precisely, taking prescribed or recommended over-the-counter medications on schedule rather than waiting until discomfort becomes severe. Taking medication proactively, before the anesthesia fully wears off, provides better pain control than reactive dosing. Common recommendations include ibuprofen for inflammation reduction and acetaminophen for pain relief, though your specific situation may warrant prescription-strength medications.

Days 2-3: Peak Discomfort Phase

The second and third days following your restorative dentistry procedure often represent the most challenging period of recovery. During this timeframe, inflammation typically reaches its maximum intensity, making this phase notorious among dental patients for producing the most significant discomfort.

Understanding that this temporary increase in symptoms represents normal healing progression rather than complications helps maintain perspective. Your body’s inflammatory response peaks as healing mechanisms work intensively at the cellular level to repair tissues, integrate restorations, and establish new equilibrium in the treated area.

Why Discomfort Intensifies

The biological explanation for increased post-procedure pain during days two and three involves complex inflammatory cascades. As your immune system responds to the dental intervention, chemical mediators like prostaglandins accumulate at the treatment site, sensitizing nerve endings and increasing pain perception. Additionally, swelling reaches its maximum during this window, creating pressure that activates pain receptors in surrounding tissues.

Managing Increased Swelling

Swelling management becomes particularly important during this peak inflammation period. Apply cold compresses to the external facial area near the treatment site for 20-minute intervals, with 20-minute breaks between applications. This cold therapy constricts blood vessels, reduces inflammatory fluid accumulation, and provides numbing relief. Continue this regimen throughout days two and three for optimal benefit.

Adjusting Pain Relief Strategies

If your initial pain medication regimen proves insufficient during this peak discomfort phase, contact your dental provider rather than suffering unnecessarily. They may recommend adjusting dosages, alternating between different medication types, or prescribing stronger pain relief options. Never exceed recommended medication dosages without professional guidance, as this creates serious health risks.

Monitoring for Complications

While intensified discomfort is expected during days two and three, certain symptoms warrant immediate professional evaluation. Watch for signs of infection after dental work, including fever above 101°F, increasing rather than stabilizing pain after the third day, foul-smelling discharge, or swelling that continues expanding beyond 72 hours. These red flags suggest complications requiring prompt intervention.

Continuing Dietary Caution

Maintain your soft food diet through this peak discomfort period, gradually introducing slightly more textured options only if comfortable. Continue avoiding hard, crunchy, sticky, or chewy foods that stress the treatment area. Stay well-hydrated with room-temperature water, avoiding alcohol and carbonated beverages that may irritate healing tissues.

Week One: Gradual Improvement Timeline

As you move beyond the critical first 72 hours, the dental recovery timeline shifts toward steady improvement. Most patients notice progressive reduction in discomfort, swelling, and sensitivity throughout the first week following their restorative procedure.

This phase requires patience as healing continues at the microscopic level even when visible symptoms diminish. Soft tissue repairs, bone remodeling around implants, and integration of restorative materials all progress during this period, though these processes occur beneath the surface rather than producing obvious external changes.

Daily Symptom Progression

Expect each day to bring noticeable improvements in comfort and function. Swelling typically resolves almost completely by day five or six, while pain transitions from constant awareness to occasional twinges triggered by specific activities. Temperature sensitivity often persists but becomes less intense and shorter-lived with each passing day.

Expanding Dietary Options

By day four or five, you can cautiously reintroduce semi-soft foods into your diet well-cooked pasta, tender fish, soft-cooked vegetables, and ground meats become viable options. Continue chewing on the opposite side from your restoration when possible, and cut foods into smaller pieces requiring less vigorous chewing. Avoid returning to hard or extremely chewy foods until receiving explicit clearance from your dentist.

Resuming Normal Oral Hygiene

Gradually transition back to your standard oral care routine during the first week, though continued gentleness around the restoration site remains important. By day five, you can typically resume normal brushing technique, including the treated area, using your soft-bristled toothbrush. Introduce flossing carefully around the restoration, being mindful not to dislodge temporary materials if present.

Returning to Regular Activities

Most patients can resume normal daily activities, including work and light exercise, within two to three days after minor restorative procedures. More extensive treatments may require a full week before returning to vigorous physical activities. Listen to your body—if an activity causes throbbing or discomfort at the treatment site, scale back and allow additional recovery time.

Temporary Restoration Care

If you received a temporary crown or other provisional restoration, exercise particular caution during the first week. These temporary solutions lack the strength and stability of permanent restorations, making them vulnerable to dislodgement or damage. Avoid sticky foods like caramel or gum entirely, and chew predominantly on the opposite side until receiving your permanent restoration.

Long-Term Healing: Weeks 2-6

While acute symptoms typically resolve within the first week, complete healing after dental restoration continues for several weeks. During this extended period, tissues fully mature, restorations settle into their final positions, and your bite adjusts to any changes introduced by the dental work.

Understanding this longer healing timeline prevents premature alarm if subtle sensitivity or awareness persists beyond the initial recovery phase. Many restorative procedures, particularly those involving dental implants or extensive crown work, require weeks or even months for complete tissue integration and adaptation.

Residual Sensitivity Timeline

Persistent tooth sensitivity for several weeks after restorative work, while frustrating, generally falls within normal parameters. Teeth that received deep fillings, new crowns, or extensive preparations may remain somewhat sensitive to temperature, pressure, or sweet foods for four to six weeks post-procedure. This lingering sensitivity typically follows a downward trajectory if symptoms are gradually improving, patience is appropriate.

Bite Adjustment Period

Your mouth possesses remarkable sensitivity to even microscopic changes in your dental bite. New crowns, fillings, or bridges may feel slightly “high” or unusual for days or weeks as you adapt to the restored tooth contour. Most patients accommodate these minor changes naturally within two to three weeks. However, if a restoration consistently feels uncomfortable, prevents proper closure, or causes jaw pain, contact your dentist for a bite adjustment.

Gum Tissue Maturation

The gum tissue surrounding your restoration continues remodeling for several weeks following the procedure. Initial inflammation resolves within days, but the tissues continue adapting their contours to the restoration shape, establishing proper attachment zones, and maturing their collagen architecture. This process typically completes within four to six weeks.

Implant Integration Timeline

For patients who received dental implants, the healing timeline extends considerably longer than other restorative procedures. Osseointegration the process by which implant posts fuse with jaw bone typically requires three to six months for completion. During this period, you may have temporary restorations in place while the integration progresses beneath the gum line.

When to Schedule Follow-Up Appointments

Most restorative dental procedures require at least one follow-up appointment to evaluate healing progress, finalize restorations, or make necessary adjustments. Attend all scheduled follow-up visits, as they provide opportunities to address concerns, ensure proper restoration fit, and confirm successful healing. Additionally, schedule an appointment if new symptoms emerge or existing symptoms worsen rather than improve.

Special Considerations for Different Restoration Types

Different types of dental restorations present unique recovery characteristics and post-procedure requirements. Understanding the specific expectations for your particular treatment helps you provide appropriate care and recognize whether your experience falls within normal parameters.

While general recovery principles apply across restoration types, the specific healing timeline, activity restrictions, and potential complications vary considerably between a simple filling and a complex full-mouth rehabilitation. Tailoring your recovery approach to your specific procedure optimizes outcomes and prevents complications.

Dental Fillings Recovery

Composite fillings and amalgam restorations represent relatively minor restorative procedures with straightforward recovery profiles. Most patients experience minimal discomfort lasting just 24 to 48 hours, with temperature sensitivity potentially persisting for several weeks, particularly after deep fillings. You can typically resume normal eating habits within a few hours, though composite fillings require avoiding extremely hard foods for 24 hours while the material fully hardens.

Crown and Bridge Healing

Recovery from crown placement involves both the prepared tooth and surrounding gum tissues. Expect several days of mild to moderate sensitivity as the tooth adjusts to its new covering. Gum tissues may feel tender where the crown margin contacts them, particularly if impressions require gum retraction. If you received a temporary crown, exercise extreme caution to avoid dislodging it, as the underlying prepared tooth remains vulnerable without proper coverage.

Dental Implant Post-Operative Care

Implant surgery represents the most extensive restorative procedure with the longest recovery timeline. The initial surgical healing phase lasts one to two weeks, during which swelling, bruising, and moderate discomfort are expected. However, complete osseointegration requires three to six months before the permanent crown can be placed. During this extended period, follow all activity restrictions, maintain meticulous oral hygiene around the implant site, and attend all scheduled monitoring appointments.

Root Canal and Restoration

Teeth receiving root canal therapy followed by restorative work experience a unique recovery pattern. The endodontic treatment itself may cause several days of tenderness as surrounding tissues recover from inflammation. Once the permanent restoration is placed, additional sensitivity may emerge as the tooth adjusts to its new structure. Most root canal-treated teeth feel completely normal within two to four weeks.

Inlay and Onlay Adjustments

Dental inlays and onlays fall between fillings and crowns in terms of invasiveness and recovery expectations. These indirect restorations may feel slightly unusual for several days as your tongue explores the new contours. Temperature sensitivity often occurs but typically resolves within two weeks. If the restoration feels high or interferes with your bite, contact your dentist for adjustment rather than waiting for adaptation.

Preventing Complications and Promoting Healing

Proactive measures during your recovery period significantly reduce complication risks while accelerating the healing process. Understanding which factors support optimal healing versus which behaviors jeopardize restoration success empowers you to actively participate in your recovery rather than passively enduring it.

Most post-procedure complications are preventable through appropriate care, adherence to professional recommendations, and prompt attention to warning signs. Investing effort in prevention proves far more comfortable and cost-effective than addressing complications after they develop.

Optimal Oral Hygiene Practices

Maintaining excellent oral hygiene during recovery prevents infection while supporting tissue healing. Brush twice daily using a soft-bristled toothbrush, being gentle around the restoration site. Rinse with warm salt water (one-half teaspoon salt in eight ounces water) three to four times daily to reduce bacteria, soothe tissues, and promote healing. Avoid alcohol-based mouthwashes during the first week, as they may irritate healing tissues and cause stinging discomfort.

Nutrition for Healing Support

Your dietary choices influence healing speed and quality. Prioritize protein-rich soft foods that provide building blocks for tissue repair Greek yogurt, protein shakes, eggs, and soft fish excellent options. Incorporate foods rich in vitamins C and A, which support immune function and tissue regeneration. Stay well-hydrated, as adequate fluid intake supports all cellular processes including healing mechanisms.

Avoiding Harmful Behaviors

Certain activities significantly increase complication risks during your recovery period. Absolutely avoid smoking or using any tobacco products, as these dramatically impair healing, increase infection risk, and may cause implant failure. Refrain from alcohol consumption while taking pain medications and limit it generally during the first week, as alcohol interferes with healing processes and may cause bleeding.

Managing Stress and Supporting Immunity

Your overall health status influences dental healing capacity. Prioritize adequate sleep, aim for seven to nine hours nightly, as tissue repair accelerates during rest periods. Manage stress through appropriate techniques, as chronic stress suppresses immune function and slows healing. If you have conditions affecting healing capacity diabetes, autoimmune disorders, or immunosuppression communicate closely with your dentist about any concerning symptoms.

Recognizing Warning Signs

Familiarize yourself with symptoms requiring immediate professional evaluation. Contact your dentist if you experience fever, severe pain uncontrolled by prescribed medications, excessive bleeding, increasing rather than decreasing swelling after 72 hours, numbness persisting beyond expected timeframes, or signs of allergic reaction to medications. Early intervention prevents minor issues from evolving into serious complications.

Signs Your Recovery Is Progressing Normally

Understanding typical healing milestones helps distinguish normal recovery from concerning complications. While individual experiences vary based on procedure type, extent of work, and personal healing capacity, certain patterns indicate healthy progression toward complete recovery.

Most patients find reassurance in knowing what “normal” looks like at various stages of their healing journey. This knowledge prevents unnecessary anxiety about expected symptoms while sharpening awareness of truly concerning developments that warrant professional attention.

Expected Daily Improvements

Normal recovery follows a predictable trajectory of gradual improvement. Each day should bring noticeable reduction in pain intensity, swelling, and overall discomfort compared to the previous day. While improvement may not be linear some patients experience plateaus or minor setbacks the overall trend should clearly point toward healing rather than deterioration.

Typical Symptom Duration

Acute pain from routine restorative procedures typically resolves within three to five days, transitioning to mild sensitivity that persists for several weeks. Swelling peaks at 48 to 72 hours then resolves almost completely by day seven. Temperature sensitivity may linger for two to six weeks depending on the procedure depth and complexity, but the intensity should progressively diminish.

Positive Healing Indicators

Several signs suggest your recovery is proceeding excellently. Progressive reduction in medication needs indicates improving comfort. The ability to gradually expand your diet reflects decreasing sensitivity and inflammation. Gum tissue transitioning from red and puffy to pink and firm demonstrates healthy tissue maturation. Absence of fever, foul odors, or unusual discharge indicates lack of infection.

Normal Variations in Healing

Individual healing rates vary considerably based on factors including age, overall health, procedure complexity, and genetic healing capacity. Younger patients typically heal faster than older individuals. Non-smokers heal more quickly than smokers. Patients with well-controlled diabetes heal comparably to non-diabetic individuals, while poorly controlled diabetes significantly delays healing.

When Slower Healing Remains Normal

Some procedures inherently require extended healing periods. Deep fillings may cause sensitivity for six to eight weeks while the tooth’s nerve settles. Extensive crown preparations sometimes generate prolonged awareness of the restoration. Implant sites require months for complete integration. If symptoms are steadily improving, albeit slowly, continued patience rather than intervention may be most appropriate.

Conclusion

Understanding what to expect after a restorative dental procedure transforms recovery from an uncertain, anxiety-producing experience into a manageable process with clear milestones and expectations. While the initial days present discomfort and dietary limitations, recognizing these challenges as temporary phases of a healing journey helps maintain perspective and patience. By following post-procedure instructions carefully, maintaining excellent oral hygiene adapted to your healing tissues, and promptly addressing any concerning symptoms, you maximize the success and longevity of your dental restoration while minimizing complication risks.

Every patient’s recovery experience differs slightly based on procedure type, individual healing capacity, and adherence to care recommendations. However, the fundamental trajectory remains consistent: acute symptoms peak within 72 hours, then progressively resolve over the following week, with complete healing achieved within several weeks to months depending on restoration complexity. If you have concerns about your recovery progress or experience symptoms outside normal parameters, don’t hesitate to contact your Dentist in Beverly Hills, CA for evaluation and guidance. Your dental team remains committed to supporting your healing journey and ensuring your restored smile serves you beautifully for years to come.

Frequently Asked Questions

What are the do’s and don’ts after tooth restoration?

After tooth restoration, do follow your dentist’s specific post-procedure instructions carefully, take prescribed medications on schedule, maintain gentle oral hygiene around the restoration site, eat soft foods for the first few days, and apply cold compresses to reduce swelling during the initial 48 hours. Do attend all scheduled follow-up appointments and contact your dentist if symptoms develop. Don’t smoke or use tobacco products, consume extremely hot or cold foods immediately after treatment, chew hard or sticky foods on the restoration side, skip medications even if you feel better, or ignore persistent pain or swelling that worsens after three days. Avoid vigorous rinsing or spitting that might dislodge protective blood clots, particularly after extractions.

What is the 3-3-3 rule for teeth?

The 3-3-3 rule for dental care represents a simplified guideline for maintaining optimal oral health: brush your teeth for at least three minutes (or two minutes, in the more common 2-2-2 variation), twice per day, covering all three main surfaces of each tooth (front, back, and chewing surface). Some interpretations suggest brushing three times daily—after breakfast, lunch, and dinner for three minutes each session. While specific timing recommendations vary among dental professionals, the core principle emphasizes thorough, regular brushing that addresses all tooth surfaces. Most dentists recommend brushing for two minutes twice daily using proper technique, combined with daily flossing and regular professional cleanings.

What are the side effects of dental restoration?

Common side effects after dental restoration include temporary tooth sensitivity to hot, cold, sweet, or pressure stimuli, which typically resolves within two to six weeks. Mild to moderate discomfort or soreness around the restoration site peaks within 48 to 72 hours then gradually improves. You may experience minor gum irritation where the restoration contacts soft tissues, particularly with new crowns. Some patients notice slight changes in their bite that require adjustment or natural adaptation. Numbness from local anesthesia persists for several hours post-procedure. Rare but possible complications include allergic reactions to dental materials, infection requiring antibiotic treatment, or restoration failure necessitating replacement. Most side effects are mild, temporary, and resolve without intervention.

Why is day 3 the worst after tooth extraction?

Day three after tooth extraction typically represents the peak of inflammatory response, making it the most uncomfortable point in recovery for many patients. During the first 72 hours, your body’s immune system mobilizes healing resources to the extraction site, producing maximum swelling and inflammation around the third day. Chemical mediators called prostaglandins accumulate at the wound site, sensitizing nerve endings and intensifying pain perception. Additionally, the protective blood clot fully matures during this timeframe, and any disturbance to it causes significant discomfort. The combination of peak inflammation, maximum swelling placing pressure on surrounding tissues, and heightened nerve sensitivity creates the “day three” phenomenon. After this peak, inflammatory processes begin resolving, bringing progressive relief.

Which is the most painful day after tooth extraction?

The most painful day after tooth extraction typically falls between days two and three post-procedure, though individual experiences vary considerably based on extraction complexity, tooth location, and personal pain tolerance. Simple extractions may cause maximum discomfort on day two, while surgical extractions of impacted teeth often produce peak pain on day three. The initial day often feels more manageable because residual anesthesia provides some lingering numbness and your body hasn’t yet fully activated inflammatory responses. As swelling reaches its maximum at the 48 to 72-hour mark, pressure on surrounding nerves and tissues intensifies pain perception. After this peak, symptoms progressively improve, with most patients experiencing significant relief by days four and five.

What should I eat the first night after tooth extraction?

The first night after tooth extraction requires an exclusively soft, cool or room-temperature diet that requires no chewing effort. Ideal options include yogurt, pudding, applesauce, smoothies (consumed with a spoon rather than straw), protein shakes, mashed potatoes, ice cream (if not too cold), scrambled eggs, and lukewarm soup (avoiding any chunks or pieces requiring chewing). Avoid hot foods that might increase bleeding or burn numb tissues. Never use straws, as the suction action can dislodge the protective blood clot, causing painful dry socket. Stay well-hydrated with room-temperature water. Avoid alcohol, carbonated beverages, acidic juices, and anything requiring significant mouth movement or chewing. The goal is providing adequate nutrition while completely protecting the extraction site during this critical initial healing period.

The post What to Expect After a Restorative Dental Procedure appeared first on Confidental Beverly Hills.

]]>
https://confidentalbeverlyhills.com/what-to-expect-after-a-restorative-dental-procedure/feed/ 0
Can Dental Cleaning Prevent Gum Disease https://confidentalbeverlyhills.com/can-dental-cleaning-prevent-gum-disease/ https://confidentalbeverlyhills.com/can-dental-cleaning-prevent-gum-disease/#respond Wed, 14 Jan 2026 15:06:46 +0000 https://confidentalbeverlyhills.com/?p=5657 Gum disease remains one of the most prevalent oral health conditions affecting millions of people worldwide. Many individuals wonder whether regular dental cleaning appointments can truly make a difference in preventing this common yet serious condition. The answer is a resounding yes: professional cleanings are one of the most effective tools for preventing gum disease […]

The post Can Dental Cleaning Prevent Gum Disease appeared first on Confidental Beverly Hills.

]]>
Gum disease remains one of the most prevalent oral health conditions affecting millions of people worldwide. Many individuals wonder whether regular dental cleaning appointments can truly make a difference in preventing this common yet serious condition. The answer is a resounding yes: professional cleanings are one of the most effective tools for preventing gum disease through cleanings and maintaining optimal oral health. Understanding how these routine appointments protect your gums can motivate you to prioritize preventive care and avoid the painful, costly consequences of untreated periodontal problems.

Gum disease, also known as periodontal disease, develops when bacterial plaque accumulates along and beneath the gum line, causing inflammation and infection. Without proper intervention, what begins as mild gingivitis can progress to severe periodontitis, leading to bone loss, tooth loss, and even systemic health complications. Professional dental cleanings interrupt this disease process before irreversible damage occurs, making them an essential component of lifelong oral health.

Understanding How Gum Disease Develops

Before exploring how dental cleanings gum health connections work, it’s important to understand the disease process itself. Gum disease begins when bacterial plaque a sticky film of bacteria, accumulates on tooth surfaces. If not removed through proper brushing and flossing, this plaque hardens into tartar (calculus), which cannot be eliminated with home care alone.

The Role of Bacteria in Gum Disease

Bacteria in plaque produce toxins that irritate gum tissue, causing inflammation. In the early stage called gingivitis, gums become red, swollen, and bleed easily during brushing or flossing. At this point, the condition is still reversible with professional intervention and improved home care. However, if left untreated, the infection deepens.

Progression from Gingivitis to Periodontitis

As gum disease advances, the inflammation extends below the gum line, creating periodontal pockets between teeth and gums. These pockets harbor more bacteria, leading to progressive destruction of the connective tissue and bone supporting your teeth. This advanced stage, periodontitis, causes permanent damage including bone loss and eventual tooth loss if not properly treated.

Risk Factors That Accelerate Disease

Certain factors increase your vulnerability to gum disease, including smoking, diabetes, genetic predisposition, hormonal changes, poor nutrition, and certain medications. Stress and inadequate oral hygiene also contribute to disease development. Understanding your personal risk factors helps you and your dentist create an appropriate prevention strategy.

Warning Signs You Shouldn’t Ignore

Common symptoms of gum disease include bleeding gums, persistent bad breath, receding gums, loose teeth, painful chewing, and changes in bite alignment. Many people dismiss bleeding gums as normal, but healthy gums should never bleed. Any of these symptoms warrant immediate dental evaluation to prevent further progression.

How Professional Dental Cleanings Protect Your Gums

Professional teeth cleaning gum disease prevention works through several mechanisms that home care simply cannot replicate. These appointments provide comprehensive cleaning that addresses the root causes of gum inflammation and infection.

Removing Plaque and Tartar Buildup

The primary benefit of professional cleanings is the removal of plaque and tartar deposits that harbor disease-causing bacteria. Your dental hygienist uses specialized instruments like ultrasonic scalers and hand scalers to eliminate these deposits from tooth surfaces and beneath the gum line. Once tartar forms, it’s impossible to remove with regular brushing, making professional intervention essential.

Cleaning Below the Gum Line

Unlike home oral hygiene efforts that primarily clean visible tooth surfaces, professional cleanings address the critical area just below the gum line where gum disease begins. Dental hygienists carefully clean these subgingival areas, removing bacterial colonies before they can cause significant inflammation or pocket formation.

Polishing and Smoothing Tooth Surfaces

After removing deposits, hygienists polish teeth with specialized paste, creating smooth surfaces that resist bacterial adhesion. Smooth teeth make it harder for plaque to accumulate, extending the benefits of your cleaning between appointments. This polishing also removes surface stains, leaving your smile brighter and healthier.

Early Detection and Intervention

During cleaning appointments, your Dentist in Beverly Hills, CA and hygienist examine your gums for early signs of disease. They measure periodontal pocket depths, assess tissue health, and identify areas requiring additional attention. This early detection allows for prompt intervention before minor inflammation becomes a serious disease.

The Science Behind Prevention

Research consistently demonstrates the effectiveness of gum health dental cleaning relationships. Numerous studies have shown that regular professional cleanings significantly reduce the incidence and severity of gum disease compared to irregular or absent dental care.

Clinical Evidence Supporting Regular Cleanings

Scientific literature overwhelmingly supports the preventive power of professional dental care. Studies show that individuals who receive cleanings every six months have substantially lower rates of periodontitis and tooth loss compared to those who neglect regular appointments. The removal of subgingival bacteria through professional cleaning reduces inflammatory markers and prevents disease progression.

Frequency Recommendations Based on Risk

While most people benefit from cleanings every six months, your ideal frequency depends on individual risk factors. Those with a history of gum disease, diabetes, smoking habits, or genetic predisposition may need more frequent appointments—typically every three to four months. Your dentist determines the appropriate schedule based on your gum health status and risk profile.

Long-Term Studies on Preventive Care

Longitudinal research tracking patients over decades demonstrates that consistent dental care advantages include significantly lower rates of tooth loss and periodontal disease. Patients who maintain regular cleaning schedules throughout their lives retain more natural teeth and experience fewer oral health complications as they age.

Comparing Outcomes: Regular vs Irregular Care

Studies comparing patients with regular cleaning schedules to those with sporadic dental visits reveal dramatic differences. Regular care recipients experience less gum recession, shallower periodontal pockets, reduced bone loss, and better overall oral health outcomes. The cumulative benefit of consistent preventive care compounds over time.

What Happens During a Preventive Cleaning

Understanding what occurs during your cleaning appointment helps you appreciate how these visits protect your gums and prevent disease development.

Comprehensive Examination

Before cleaning begins, your hygienist examines your mouth, checking for signs of cavities, gum inflammation, oral cancer, and other conditions. They measure periodontal pocket depths around each tooth using a specialized probe, documenting areas of concern and tracking changes from previous visits.

Scaling and Deposit Removal

Using ultrasonic and hand instruments, the hygienist removes plaque and tartar from all tooth surfaces, paying particular attention to areas along the gum line and between teeth. This thorough cleaning eliminates the bacterial deposits responsible for gum inflammation and infection.

Polishing and Fluoride Application

After scaling, your teeth are polished to remove surface stains and create smooth surfaces resistant to plaque accumulation. Many appointments conclude with fluoride treatment, which strengthens tooth enamel and provides additional protection against tooth decay and sensitivity.

Personalized Home Care Instructions

Your hygienist provides customized recommendations for improving your home oral hygiene routine. They might demonstrate proper brushing and flossing techniques, suggest specific dental products, or identify areas requiring more attention based on plaque accumulation patterns observed during your cleaning.

Combining Professional Care with Home Hygiene

While professional cleanings are crucial for preventing oral diseases with cleanings, they work best when combined with excellent daily oral hygiene practices at home.

Proper Brushing Techniques

Brush twice daily for two minutes using a soft-bristled toothbrush and fluoride toothpaste. Hold your brush at a 45-degree angle to the gum line and use gentle circular motions. Replace your toothbrush every three months or sooner if bristles become frayed.

The Critical Importance of Flossing

Flossing daily removes plaque from between teeth and beneath the gum line where your toothbrush cannot reach. Proper flossing technique involves gently guiding the floss between teeth and curving it around each tooth in a C-shape, sliding it beneath the gum line to remove hidden plaque.

Antimicrobial Mouthwash Benefits

Using an antimicrobial mouthwash provides additional protection against bacteria that cause gum disease. These rinses reduce bacterial levels throughout your mouth, reaching areas that brushing and flossing might miss. Choose alcohol-free formulations to avoid dry mouth, which can increase disease risk.

Lifestyle Factors Affecting Gum Health

Avoid smoking and tobacco use, which dramatically increases gum disease risk and impairs healing. Maintain a nutritious diet rich in vitamins and minerals that support gum health. Manage stress, which can weaken immune function and increase vulnerability to oral infections. Control systemic conditions like diabetes that affect periodontal health.

Special Considerations for High-Risk Individuals

Certain populations benefit from modified cleaning schedules and additional preventive measures to protect against gum disease.

Pregnant Women and Gum Health

Hormonal changes during pregnancy increase susceptibility to gingivitis. Pregnant women should maintain regular cleanings throughout pregnancy and practice meticulous home care. Untreated gum disease during pregnancy has been linked to preterm birth and low birth weight, making preventive care especially important.

Diabetic Patients’ Unique Needs

Diabetes and gum disease have a bidirectional relationship—each condition worsens the other. Diabetic patients require more frequent professional cleanings and closer monitoring of gum health. Controlling blood sugar and maintaining excellent oral hygiene helps manage both conditions effectively.

Smokers and Former Smokers

Smoking significantly increases gum disease risk and masks early warning signs like bleeding gums. Smokers need more frequent cleanings and aggressive preventive strategies. Even after quitting, former smokers may have higher disease risk and benefit from continued vigilant care.

Patients with Genetic Predisposition

Some individuals have genetic variations that make them more susceptible to aggressive forms of gum disease. These patients may need cleanings every three months and additional interventions like antimicrobial treatments to prevent disease despite excellent home care.

Cost-Effectiveness of Prevention

Investing in regular professional cleanings represents one of the most cost-effective healthcare decisions you can make for long-term oral and overall health.

Comparing Prevention vs Treatment Costs

A routine dental cleaning typically costs $100-200, while treating established periodontal disease can cost thousands of dollars. Advanced treatments like gum surgery, bone grafts, and dental implants to replace lost teeth far exceed the cost of preventive care. Insurance companies recognize this, which is why most plans cover preventive cleanings at 100%.

Long-Term Savings and Quality of Life

Beyond direct dental costs, preventing gum disease avoids the indirect expenses of missed work, emergency appointments, and complex treatments. More importantly, maintaining your natural teeth throughout life allows you to eat comfortably, speak clearly, and smile confidently—benefits that significantly enhance quality of life.

Insurance Coverage for Preventive Care

Most dental insurance plans cover two preventive cleaning appointments annually at no cost to patients, recognizing the value these visits provide. Taking advantage of this coverage maximizes your insurance benefits while protecting your oral health. Neglecting covered preventive care essentially wastes insurance benefits and increases your risk of expensive problems later.

Return on Investment for Oral Health

Every dollar spent on preventive dental care, including regular cleanings, saves approximately $8-50 in future treatment costs. This impressive return on investment doesn’t even account for the value of avoiding pain, preserving your natural smile, and preventing systemic health complications associated with gum disease.

Building a Prevention Partnership

Effective gum disease prevention requires collaboration between you and your dental care team, with both parties contributing to your oral health success.

Open Communication with Your Dental Team

Share concerns, symptoms, and changes in your oral health with your dentist and hygienist. Discuss any medications, health conditions, or lifestyle factors that might affect your gum health. Ask questions about techniques, products, and strategies that can improve your home care routine.

Following Professional Recommendations

When your dentist recommends more frequent cleanings or specific treatments, understand these suggestions are based on your individual risk factors and current gum health status. Following these personalized recommendations provides the best protection against disease development and progression.

Tracking Your Progress Over Time

Regular appointments allow your dental team to document your gum health over time, identifying improvements or concerns that require attention. Consistent care with the same dental practice ensures continuity and allows for early detection of subtle changes that might indicate developing problems.

Commitment to Lifelong Care

View professional cleanings not as optional appointments but as essential components of your healthcare routine, like annual physical exams or vision checks. This mindset shift helps you prioritize these appointments and maintain the consistency necessary for effective disease prevention throughout your life.

Conclusion

The evidence is clear: professional dental cleaning is one of the most effective strategies for preventing gum disease and maintaining lifelong oral health. These appointments remove disease-causing plaque and tartar that home care cannot eliminate, enable early detection of problems, and provide opportunities for personalized guidance on improving your oral hygiene routine. When combined with excellent daily brushing and flossing, regular professional cleanings offer powerful protection against gum inflammation, infection, and the serious consequences of untreated periodontal disease.

Don’t wait until symptoms develop to prioritize your gum health. Schedule your next cleaning appointment today and commit to the consistent preventive care that keeps your smile healthy for life. Your gums and your overall health will thank you for this wise investment.

Frequently Asked Questions

Does teeth cleaning help gum disease?

Yes, professional teeth cleaning is essential for both preventing and treating gum disease. Regular cleanings remove plaque and tartar below the gum line that cause inflammation and infection. For early gingivitis, professional cleaning combined with improved home care can completely reverse the condition. For established disease, specialized deep cleanings help control infection and prevent progression.

How to treat gum disease in pregnancy?

Gum disease during pregnancy should be treated with professional dental cleanings and improved home oral hygiene. Regular cleanings are safe throughout pregnancy, with the second trimester being ideal for extensive treatment. Brush twice daily, floss regularly, and use antimicrobial mouthwash if recommended. Inform your dentist about your pregnancy so they can provide appropriate care while avoiding certain medications or procedures if necessary.

Can a hygienist stop gum disease?

Dental hygienists play a crucial role in stopping early gum disease. They perform professional cleanings that remove bacterial deposits causing inflammation. For mild gingivitis, hygienist-provided cleanings and patient education on proper home care can completely reverse the condition. However, advanced periodontitis requires comprehensive treatment planned by your dentist, which may include deep cleaning, medications, or surgical intervention beyond hygienist scope.

What do dentists do to stop gum disease?

Dentists stop gum disease through several approaches depending on severity. For early disease, professional cleanings and improved home care suffice. Moderate cases require deep cleaning (scaling and root planing) to remove bacteria below the gum line. Advanced disease may need antibiotic therapy, laser treatment, or gum surgery. Dentists also address contributing factors like smoking, diabetes, or improper home care techniques.

Can you stop gum disease once it starts?

Yes, gum disease can be stopped at any stage, though early intervention is most effective. Gingivitis is completely reversible with professional cleaning and proper home care. Periodontitis cannot be reversed, but its progression can be halted through appropriate treatment including deep cleaning, consistent maintenance appointments, and excellent oral hygiene. The key is prompt treatment and ongoing commitment to professional care and daily home hygiene practices.

The post Can Dental Cleaning Prevent Gum Disease appeared first on Confidental Beverly Hills.

]]>
https://confidentalbeverlyhills.com/can-dental-cleaning-prevent-gum-disease/feed/ 0
How Long Do Dental Bridges Last https://confidentalbeverlyhills.com/how-long-do-dental-bridges-last/ https://confidentalbeverlyhills.com/how-long-do-dental-bridges-last/#respond Tue, 13 Jan 2026 14:37:49 +0000 https://confidentalbeverlyhills.com/?p=5654 Missing teeth can significantly impact your confidence, chewing ability, and overall oral health. Dental bridges have emerged as one of the most reliable solutions for replacing missing teeth, offering both functional restoration and aesthetic appeal. However, one of the most common questions patients ask when considering this treatment option is about longevity—specifically, how many years […]

The post How Long Do Dental Bridges Last appeared first on Confidental Beverly Hills.

]]>
Missing teeth can significantly impact your confidence, chewing ability, and overall oral health. Dental bridges have emerged as one of the most reliable solutions for replacing missing teeth, offering both functional restoration and aesthetic appeal. However, one of the most common questions patients ask when considering this treatment option is about longevity—specifically, how many years they can expect their investment to last before requiring replacement.

Understanding the lifespan of tooth bridges involves examining multiple factors, from the materials used in construction to your daily oral hygiene habits. While dental professionals often quote average lifespans, the reality is that some bridges last far longer than expected while others may need earlier replacement. The good news is that with proper care and regular dental visits, you can maximize the longevity of your bridge and enjoy a complete, functional smile for many years.

This comprehensive guide explores everything you need to know about bridge durability, the factors that influence how long they last, warning signs of potential problems, and practical strategies to extend the life of your restoration. Whether you’re considering getting a bridge or already have one, this information will help you make informed decisions about your dental health.

Understanding the Average Lifespan of Dental Bridges

Dental bridge lifespan typically ranges from 5 to 15 years, with many bridges lasting even longer when patients maintain excellent oral hygiene and attend regular dental checkups. According to dental research, the average longevity falls around 10 years, but this figure represents a middle ground: countless patients enjoy their bridges for 15, 20, or even 25 years with proper care and favorable conditions.

Several variables influence where your specific bridge falls within this range. The location in your mouth matters significantly, as back teeth endure much greater chewing forces than front teeth. A bridge for missing teeth in the molar region experiences substantially more stress with every meal, potentially shortening its functional life compared to a bridge replacing front incisors.

The type of bridge also affects longevity. Traditional bridges supported by natural teeth on both sides typically last longer than cantilever bridges, which anchor to teeth on only one side. Implant-supported bridges often demonstrate the longest lifespan because they don’t rely on natural teeth for support, eliminating concerns about decay or damage to supporting teeth that commonly affect conventional bridges.

Material selection plays a crucial role as well. Porcelain-fused-to-metal bridges offer excellent durability and have decades of proven success, while all-ceramic bridges provide superior aesthetics but may be slightly more prone to chipping under extreme forces. Your dentist will recommend materials based on the bridge location and your specific bite characteristics.

Key Factors That Determine Bridge Longevity

Multiple variables influence how long your bridge will last, with daily oral hygiene habits, supporting tooth health, bite forces, and regular professional care being the most critical determinants.

Oral Hygiene Practices

Your daily oral care routine represents the single most influential factor in determining how long your permanent dental bridge will last. Bridges create unique cleaning challenges because you cannot floss between the artificial teeth and the gums in the traditional manner. Food particles and bacteria can accumulate in these hard-to-reach areas, leading to gum disease and decay in the supporting teeth.

Patients who diligently use floss threaders, interdental brushes, or water flossers to clean beneath their bridges significantly extend restoration lifespan. Brushing at least twice daily with fluoride toothpaste, paying special attention to the areas where the bridge meets your natural teeth, prevents the buildup that causes most bridge failures.

Supporting Tooth Health

The strength and health of your abutment teeth, the natural teeth that support the bridge directly impact how long the entire restoration will last. If these supporting teeth develop cavities, experience bone loss from gum disease, or suffer structural damage, the bridge loses its foundation and may fail prematurely.

Before placing a bridge, dentists thoroughly evaluate the supporting teeth to ensure they’re strong enough to bear the additional load. Teeth with large existing fillings, previous root canal treatment, or compromised enamel may require additional reinforcement with crowns before they can reliably support a bridge.

Bite Forces and Grinding Habits

The amount of force your bridge experiences during chewing directly correlates with wear and tear. Patients who grind their teeth at night (bruxism) or clench their jaw during stress place extraordinary pressure on dental restorations. These repetitive forces can crack porcelain, loosen cement bonds, or even fracture the underlying tooth structure.

If you have bruxism, your dentist might recommend a custom night guard to protect your bridge while you sleep. This simple protective device distributes forces more evenly and can add years to your bridge’s functional life. Similarly, avoiding habits like chewing ice, opening packages with your teeth, or biting extremely hard foods protects your restoration from sudden traumatic damage.

Professional Dental Care

Regular dental visits every six months allow your dentist to monitor your bridge’s condition and address small problems before they escalate into major failures. During these appointments, your dental team performs professional cleaning around and beneath the bridge, removes calculus that home care might miss, and checks for early signs of decay or gum disease.

Your Dentist in Beverly Hills, CA or wherever you receive care can also assess the cement bond integrity, examine for small cracks or chips in the porcelain, and ensure your bite remains properly balanced. Sometimes minor adjustments made during routine visits prevent more significant problems that could otherwise compromise the entire restoration.

Materials Used in Bridge Construction and Their Durability

The material your dentist selects significantly impacts bridge longevity, with each option offering distinct advantages in terms of strength, aesthetics, durability, and suitability for different mouth locations.

Porcelain-Fused-to-Metal Bridges

This traditional option combines a metal substructure for strength with a porcelain overlay for natural appearance. The metal foundation provides exceptional durability and resistance to fracture, while the porcelain creates an aesthetic result that blends with surrounding teeth. These bridges typically last 10 to 15 years and have a long track record of clinical success.

The primary limitation involves potential porcelain chipping on the chewing surfaces over time, particularly in patients with heavy bite forces. However, minor chips can often be repaired chairside without replacing the entire bridge.

All-Ceramic Bridges

Modern ceramic bridges offer superior aesthetics without the metal framework, making them ideal for front teeth where appearance matters most. Advanced ceramic materials like zirconia provide strength approaching that of porcelain-fused-to-metal while delivering translucency that more closely mimics natural tooth enamel.

All-ceramic bridges generally last 8 to 12 years, with proper care extending this timeline considerably. The absence of metal eliminates the dark lines sometimes visible at the gum line with older bridge designs, creating a more natural appearance that remains consistent over time.

Metal Bridges

Full metal bridges, typically made from gold alloys, represent the most durable option available. These restorations can last 20 years or longer because metal doesn’t chip or fracture like porcelain. Dentists often recommend metal bridges for back teeth where aesthetics are less critical but strength is paramount.

The obvious drawback is appearance gold or silver-colored restorations are highly visible. However, for patients prioritizing longevity over cosmetics, particularly for posterior teeth, metal bridges offer unmatched durability.

Warning Signs Your Bridge May Need Replacement

Recognizing early indicators of bridge problems allows for timely intervention, potentially saving the restoration or minimizing damage to supporting teeth before complete failure occurs and requires emergency treatment.

Sensitivity and Discomfort

New or increasing sensitivity around a bridge, particularly to hot, cold, or sweet foods, often indicates problems with the supporting teeth. Decay beneath the bridge crowns or receding gums exposing tooth roots commonly cause these symptoms. Persistent discomfort warrants immediate dental evaluation, as early intervention can sometimes save the bridge and supporting teeth.

Visible Damage

Chips, cracks, or fractures in the bridge material require prompt attention. Even small defects can propagate over time, eventually requiring complete bridge replacement. Similarly, dark lines appearing at the gum line or visible metal showing through porcelain suggests the restoration is aging and may need replacement soon.

Movement or Looseness

A properly fitted fixed bridge should feel completely stable—indistinguishable from natural teeth. Any mobility, rocking sensation, or feeling that the bridge shifts when you chew indicates cement failure or problems with the supporting teeth. This situation requires immediate dental attention, as continued use can damage the abutment teeth.

Gum Problems

Red, swollen, or bleeding gums around the bridge suggest inflammation from trapped bacteria. Left untreated, this inflammation progresses to periodontitis, causing bone loss that undermines the supporting teeth. Regular professional cleanings and meticulous home care usually prevent these issues, but existing problems require treatment to preserve the bridge.

Maximizing Your Dental Bridge Lifespan

Implementing proper daily cleaning techniques, protecting your bridge from excessive forces, maintaining regular dental visits, and addressing problems immediately can significantly extend your restoration’s functional life beyond average expectations.

Develop a Comprehensive Cleaning Routine

Invest in tools specifically designed for bridge maintenance, including floss threaders that allow you to clean beneath the pontic (artificial tooth), interdental brushes for accessing tight spaces, and antimicrobial mouth rinses that reduce bacterial accumulation. Spending an extra few minutes daily on thorough cleaning can add years to your bridge’s functional life.

Protect Against Excessive Forces

If you participate in contact sports, wear a properly fitted athletic mouthguard to protect your bridge from traumatic injury. Similarly, if you have grinding or clenching habits, commit to wearing a night guard consistently. These protective devices represent a small investment compared to bridge replacement costs.

Maintain Regular Dental Appointments

Never skip routine dental visits, even when your bridge feels fine. Many problems that eventually cause bridge failure develop slowly without obvious symptoms. Your dentist can detect these issues in early stages when intervention is simpler and less expensive.

Address Problems Promptly

If you notice any changes in how your bridge feels or functions, contact your dental office immediately rather than waiting for your next scheduled appointment. Early treatment of small problems prevents them from escalating into situations requiring bridge replacement.

The Role of Modern Dental Technology

Advances in dental materials and techniques have significantly improved bridge longevity compared to restorations placed decades ago. Digital impression technology ensures more precise fits, reducing the gaps where bacteria might accumulate. Computer-aided design and manufacturing (CAD/CAM) create bridges with optimal contours that are easier to keep clean and more resistant to stress.

Additionally, improved adhesive cements create stronger bonds between bridges and natural teeth, reducing the risk of loosening. When you receive treatment in Beverly Hills, CA or other areas with access to advanced dental technology, you benefit from these innovations that extend restoration lifespan.

When Replacement Becomes Necessary

Despite excellent care, all dental bridges eventually require replacement. Rather than viewing this as a failure, consider it a natural part of the restoration lifecycle. When replacement time arrives, you’ll have the opportunity to benefit from the latest materials and techniques, potentially resulting in an even longer-lasting restoration.

Some patients opt for dental implants when bridge replacement becomes necessary, especially if the supporting teeth have weakened over the years. Implants eliminate the need to rely on natural teeth for support and often represent a more permanent solution for tooth replacement.

Conclusion

Understanding what influences how long dental bridges last empowers you to take active steps in preserving your restoration. The bridge you receive today can serve you reliably for well over a decade with proper care, regular professional maintenance, and prompt attention to any developing problems.

Your dental team serves as partners in maximizing bridge longevity. Don’t hesitate to ask questions about proper cleaning techniques, discuss concerns about unusual sensations, or seek guidance on protective devices. The investment you make in preventive care pays dividends in extended bridge lifespan and reduced long-term dental costs.

Frequently Asked Questions 

How often should a bridge be replaced?

Most dental bridges should be replaced every 10 to 15 years on average, though many last significantly longer with excellent care. The replacement timeline depends on factors including your oral hygiene, bite forces, the bridge’s location, and the health of supporting teeth. Regular dental checkups help your dentist monitor bridge condition and recommend replacement when necessary rather than following a fixed schedule.

What are the disadvantages of dental bridges?

The main disadvantages include requiring modification of adjacent healthy teeth to serve as anchors, potential for decay in supporting teeth if oral hygiene is inadequate, difficulty cleaning beneath the bridge, possible sensitivity in abutment teeth, and the eventual need for replacement. Additionally, bridges don’t prevent bone loss in the jaw where teeth are missing, unlike dental implants which stimulate bone preservation.

Can teeth decay under a bridge?

Yes, the natural teeth supporting a bridge can develop cavities if bacteria and food particles accumulate where the bridge meets the tooth. This is why meticulous cleaning with floss threaders and interdental brushes is essential. Once decay develops under a bridge crown, the entire restoration typically requires removal to treat the cavity, often necessitating a new bridge after treatment.

Are dental bridges permanent?

While bridges are considered a permanent restoration because they’re cemented in place and cannot be removed by patients, they are not permanent in the sense of lasting forever. Bridges eventually require replacement due to normal wear, changes in supporting teeth, or cement failure. However, they provide long-term tooth replacement that functions like natural teeth for many years.

What happens if a dental bridge fails?

Bridge failure typically involves loosening due to cement breakdown, fracture of the bridge material, or decay/damage to supporting teeth. When failure occurs, your dentist evaluates whether the bridge can be re-cemented, repaired, or requires complete replacement. In some cases, damage to supporting teeth may necessitate alternative treatments like implant-supported restorations rather than a new traditional bridge.

How much does it cost to replace a dental bridge?

Dental bridge cost for replacement typically ranges from $2,000 to $5,000 per unit, depending on the materials used, the number of teeth being replaced, and your geographic location. Replacement costs are similar to initial bridge placement since the procedure involves similar steps. Many dental insurance plans provide partial coverage for bridge replacement after a certain number of years.

Can I eat normally with a dental bridge?

Yes, once you adjust to your bridge (usually within a few days), you can eat most foods normally. However, it’s wise to avoid extremely hard foods like ice or hard candies, excessively sticky foods like caramels that might dislodge the bridge, and using your teeth to open packages. Cutting tough foods into smaller pieces and chewing on both sides of your mouth distributes forces evenly.

Do dental bridges feel natural?

Modern tooth bridges are designed to feel very natural once your mouth adjusts to them. The initial few days may feel strange as your tongue explores the new restoration, but most patients quickly adapt. Properly designed bridges match the contours of natural teeth and restore normal speaking and chewing function without the bulkiness sometimes associated with removable partial dentures.

The post How Long Do Dental Bridges Last appeared first on Confidental Beverly Hills.

]]>
https://confidentalbeverlyhills.com/how-long-do-dental-bridges-last/feed/ 0
What Is Dental Cement and Why Do Dentists Use It https://confidentalbeverlyhills.com/what-is-dental-cement-and-why-do-dentists-use-it/ https://confidentalbeverlyhills.com/what-is-dental-cement-and-why-do-dentists-use-it/#respond Tue, 13 Jan 2026 13:57:06 +0000 https://confidentalbeverlyhills.com/?p=5650 When you visit your dentist for a crown, bridge, or other dental restoration, you might hear them mention something called “dental cement.” This specialized material plays a crucial role in modern dentistry, acting as the invisible bond that keeps your dental restorations securely in place. Understanding what this substance is and how it works can […]

The post What Is Dental Cement and Why Do Dentists Use It appeared first on Confidental Beverly Hills.

]]>
When you visit your dentist for a crown, bridge, or other dental restoration, you might hear them mention something called “dental cement.” This specialized material plays a crucial role in modern dentistry, acting as the invisible bond that keeps your dental restorations securely in place. Understanding what this substance is and how it works can help you appreciate the complexity of dental procedures and why proper professional application matters so much for long-lasting results.

Dental adhesives have evolved significantly over the decades, transforming from simple mixtures to sophisticated compounds designed for specific clinical situations. Whether you’re getting a permanent crown fitted or need a temporary filling, the type of bonding agent your dentist selects can make the difference between a restoration that lasts years and one that fails prematurely.

Understanding Dental Cement: The Foundation of Restorative Dentistry

Dental cement represents a category of specialized materials that dentists use to bond restorations, seal cavities, and protect tooth structures. Unlike the concrete used in construction, these dental materials are biocompatible substances specifically formulated to work in the challenging environment of your mouth, where they must withstand constant moisture, temperature changes, and significant chewing forces.

These bonding agents serve multiple purposes beyond simply sticking things together. They create a seal that prevents bacteria from entering the space between your tooth and restoration, provide cushioning that protects the sensitive inner tooth structure, and in some cases, release beneficial minerals like fluoride that strengthen the surrounding tooth enamel.

The chemistry behind these materials is quite sophisticated. Modern formulations can bond to both tooth structure and restorative materials like porcelain or metal, creating a strong three-way connection that distributes chewing forces evenly across the restoration.Function of Dental Cement

Types of Cement Used in Modern Dental Practices

Dentists have access to various cement formulations, each engineered with specific properties that make them ideal for particular dental procedures and clinical situations.

Zinc Phosphate Cement

This traditional formulation has been used in dentistry for over a century and remains popular for certain applications. When mixed, it creates an acidic solution that slightly etches the tooth surface, promoting mechanical bonding. Dentists often choose this option for cementing metal crowns and bridges because of its proven track record and excellent compressive strength.

Glass Ionomer Cement

Glass ionomer formulations offer unique advantages, including the ability to chemically bond to tooth structure and release fluoride over time. This makes them particularly valuable for pediatric dentistry and situations where ongoing cavity protection is beneficial. The material forms ionic bonds with the calcium in your tooth enamel, creating a stable connection that helps remineralize the surrounding tooth structure.

Resin-Based Cement

Modern permanent dental cement often falls into this category, representing the latest advancement in adhesive technology. These materials create incredibly strong bonds through both chemical and mechanical means, making them ideal for aesthetic restorations like porcelain veneers and all-ceramic crowns. The resin formulations come in various shades, allowing dentists to match the color of your restoration for invisible margins.

Temporary Cement

Not all situations call for permanent bonding. Temporary formulations allow dentists to secure provisional crowns or test the fit of restorations before final placement. These materials provide adequate retention for short-term use but remain weak enough for easy removal when the time comes for permanent placement.

Why Dentists Choose Specific Dental Cements for Different Procedures

Selecting the appropriate cement involves careful consideration of multiple factors including restoration type, tooth location, patient needs, and the specific clinical challenges each case presents.

Matching Material to Clinical Situation

The selection process involves considering multiple factors simultaneously. Your dentist evaluates the type of restoration being placed, the location in your mouth, the condition of the underlying tooth structure, and your individual oral health factors. A Dentist in Beverly Hills, CA might choose a highly aesthetic resin cement for front tooth restorations where appearance matters most, while selecting a stronger zinc phosphate option for back molars that endure greater chewing forces.

Balancing Strength and Retention

Different procedures demand different properties from dental cements. A crown on a heavily damaged tooth requires maximum bonding strength, while a temporary restoration needs moderate retention that allows for easy removal. The geometry of the prepared tooth also influences cement selection short preparations with limited surface area benefit from stronger chemical bonding agents.

Considering Patient-Specific Factors

Individual patient characteristics influence cement choice as well. Someone with high cavity risk might benefit from fluoride-releasing options, while patients with sensitivity issues might need formulations that provide better insulation. The pH level of different cements varies, and some patients with compromised tooth structure require gentler, less acidic options that won’t irritate the dental pulp.

The Critical Role of Cement in Dental Restoration Success

Beyond simply bonding restorations to teeth, dental cement protects against bacterial infiltration, distributes chewing forces evenly, and maintains the structural integrity of dental work.

Creating an Effective Seal

The primary function of cement in teeth restoration involves creating an impenetrable barrier between your natural tooth structure and the prosthetic restoration. Even microscopic gaps can allow bacteria and food particles to seep underneath crowns or inlays, leading to decay, sensitivity, and eventual restoration failure. Quality cement application eliminates these pathways, protecting the vulnerable tooth structure beneath.

Distributing Mechanical Forces

When you bite down, substantial forces concentrate on your teeth—sometimes exceeding 200 pounds per square inch on molars. The cement layer acts as a shock absorber, helping distribute these forces evenly across the restoration and preventing stress fractures. This cushioning effect extends the lifespan of both your natural tooth and the prosthetic restoration.

Maintaining Proper Tooth Position

For cemented teeth with crowns or bridges, the adhesive maintains precise spacing and alignment within your dental arch. This positioning matters tremendously for your bite relationship, jaw joint health, and the longevity of adjacent teeth. Poorly cemented restorations can shift slightly over time, creating bite problems that cascade into bigger issues.

Dental Cement Application: Professional Technique Matters

The success of any dental restoration depends heavily on proper cement application, which requires precise surface preparation, accurate mixing, and controlled setting conditions for optimal bonding.

Surface Preparation Is Essential

Successful cement bonding begins long before the actual adhesive application. Dentists meticulously clean and prepare both the tooth surface and the restoration interior, removing any contaminants that might interfere with bonding. Some procedures involve acid etching the tooth enamel to create microscopic retention features, while others require applying bonding agents that prime surfaces for optimal adhesion.

Precision Mixing and Placement

Professional cement on teeth application requires exact proportions and timing. Most formulations have specific powder-to-liquid ratios that must be followed precisely—too thick and the restoration won’t seat properly, too thin and the bond weakens. Dentists work quickly once mixing begins, as working time is limited before the material starts setting.

Controlled Setting Conditions

The environment during cement hardening significantly impacts final bond strength. Moisture contamination during critical setting phases can compromise the entire restoration, which is why dentists use isolation techniques like rubber dams or careful cotton roll placement. Temperature control matters too, as some cements cure through chemical reactions that are temperature-sensitive.

Understanding Dental Cement Costs and Value

When patients inquire about dental cement price, they’re often surprised to learn that the cement itself represents a small fraction of the total restoration cost. A single crown cementation might use only a few dollars’ worth of material, but the expertise required for proper application and the equipment needed for successful bonding add significant value.

Different formulations vary in cost, with basic zinc phosphate cements being quite economical and advanced resin systems commanding premium prices due to their sophisticated chemistry and superior bonding capabilities. However, choosing cement based solely on cost can be penny-wise and pound-foolish using inappropriate materials to save a few dollars might lead to restoration failure requiring expensive replacement.

Insurance typically covers the cement as part of the overall restoration procedure rather than as a separate line item. The value lies not in the material itself but in the outcome it produces: a securely bonded restoration that functions properly and lasts for many years.

FAQs

What is a dental cement?

Dental cement is a specialized biocompatible adhesive material used by dentists to permanently or temporarily bond dental restorations like crowns, bridges, inlays, and onlays to natural tooth structure. These materials create a strong seal that prevents bacterial infiltration while securing the restoration in place. Various formulations exist, including zinc phosphate, glass ionomer, and resin-based cements, each offering specific properties suited to different clinical situations.

How long will dental cement last?

When properly applied by a dental professional, permanent dental cement should last the entire lifespan of the restoration it secures typically 10 to 15 years or longer for crowns and bridges. The longevity depends on multiple factors including the specific cement type used, the quality of the tooth preparation, your oral hygiene habits, and the forces your teeth experience during chewing. Temporary cement, by contrast, is designed to hold restorations for only a few weeks to months before intentional removal.

Which cement is used in dentistry?

Dentists use several types of cement depending on the specific procedure. The most common options include zinc phosphate cement for traditional metal restorations, glass ionomer cement for its fluoride-releasing properties and chemical bonding capabilities, resin-based cement for high-strength aesthetic restorations, and zinc oxide eugenol cement for temporary applications. Modern practices often favor resin cements for permanent restorations due to their superior bonding strength and versatility with different restoration materials.

How to apply dental cement at home?

Applying dental cement at home is strongly discouraged and should only be considered as an extremely short-term emergency measure until you can see a dentist. If a crown falls off and you absolutely cannot reach dental care immediately, over-the-counter temporary dental cement from pharmacies can be used following package instructions carefully—typically involving cleaning and drying both surfaces, applying a small amount of cement, and firmly seating the crown. However, this is not a substitute for professional care, as improperly cemented restorations can trap bacteria, cause bite problems, or be accidentally swallowed.

Can I use dental cement for a loose tooth?

No, dental cement is not appropriate for stabilizing loose natural teeth. Tooth mobility typically indicates underlying problems like gum disease, bone loss, or trauma that require professional diagnosis and treatment. Using cement on loose teeth could mask serious conditions while allowing them to worsen, potentially leading to tooth loss or infection. If you have a loose tooth, schedule an emergency dental appointment for proper evaluation and treatment, which might include deep cleaning, splinting, or other appropriate interventions.

How long does dental cement take to fully harden?

The hardening time varies significantly by cement type. Most dental cements achieve initial set within 5 to 10 minutes after placement, but reaching full strength takes considerably longer. Zinc phosphate formulations typically need 24 hours to fully cure, while resin-based cements may achieve substantial strength within 15 to 30 minutes but continue strengthening over 24 hours. Your dentist will provide specific instructions about when you can eat normally and what precautions to take during the initial setting period, which typically involves avoiding hard or sticky foods for at least a few hours.

The post What Is Dental Cement and Why Do Dentists Use It appeared first on Confidental Beverly Hills.

]]>
https://confidentalbeverlyhills.com/what-is-dental-cement-and-why-do-dentists-use-it/feed/ 0